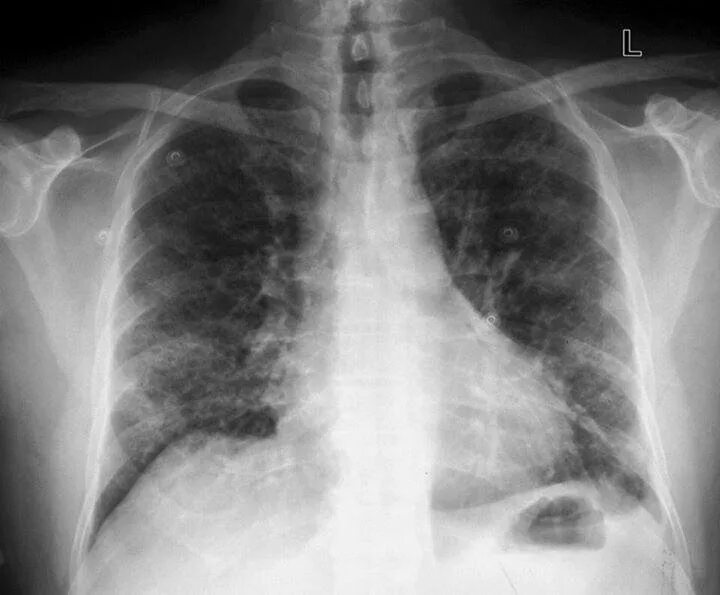
1 инфильтрат