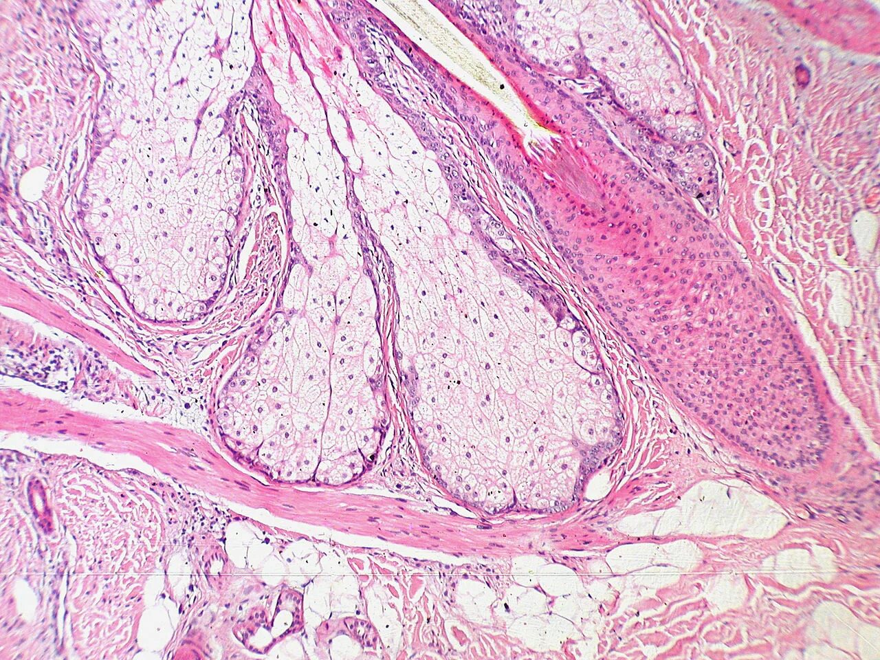
2 сальные железы