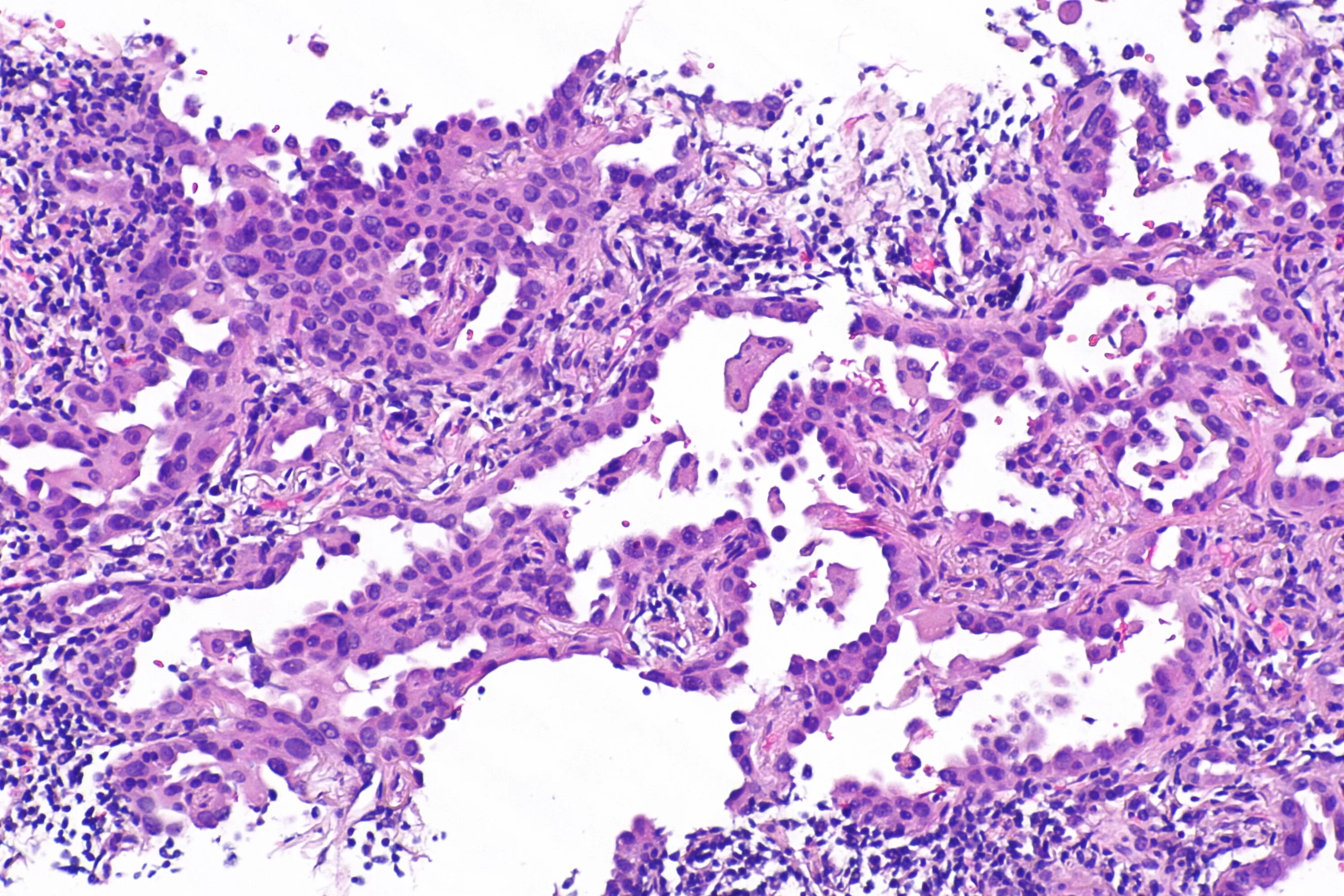
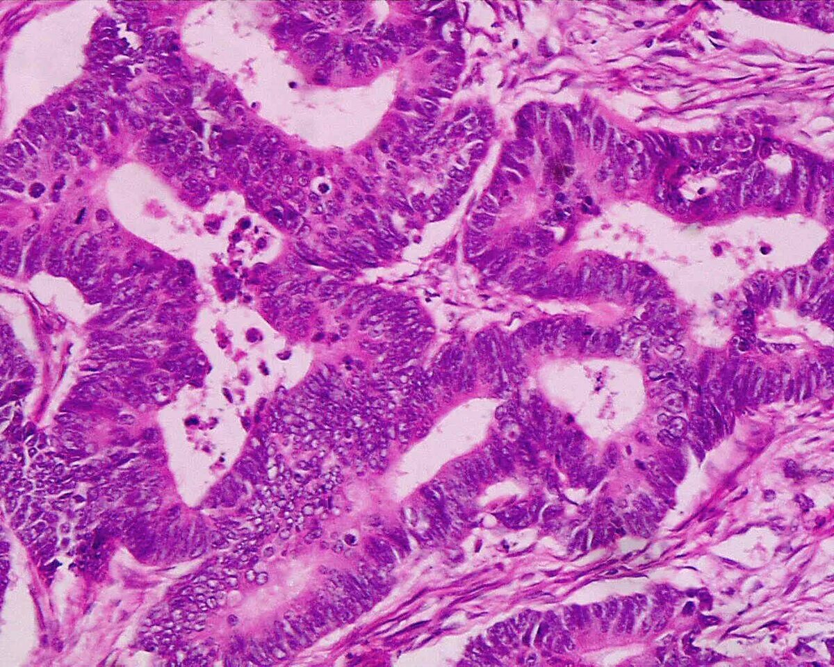
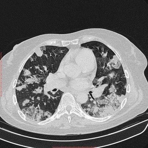
Аденокарцинома легких 4 стадия прогноз