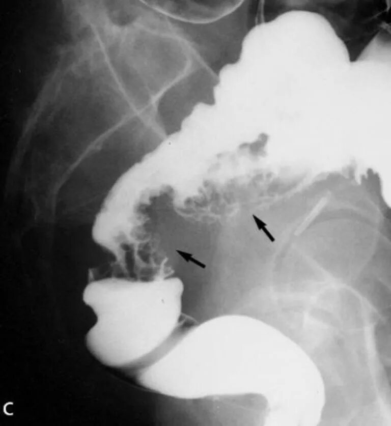
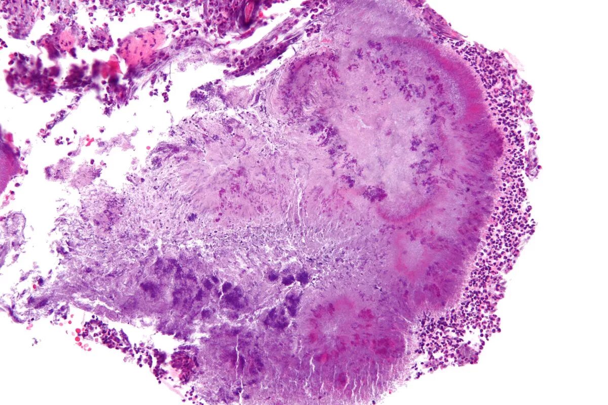
Актиномикоз это