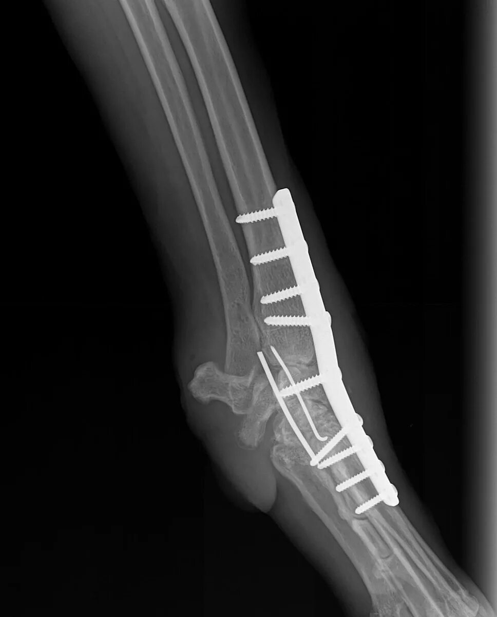
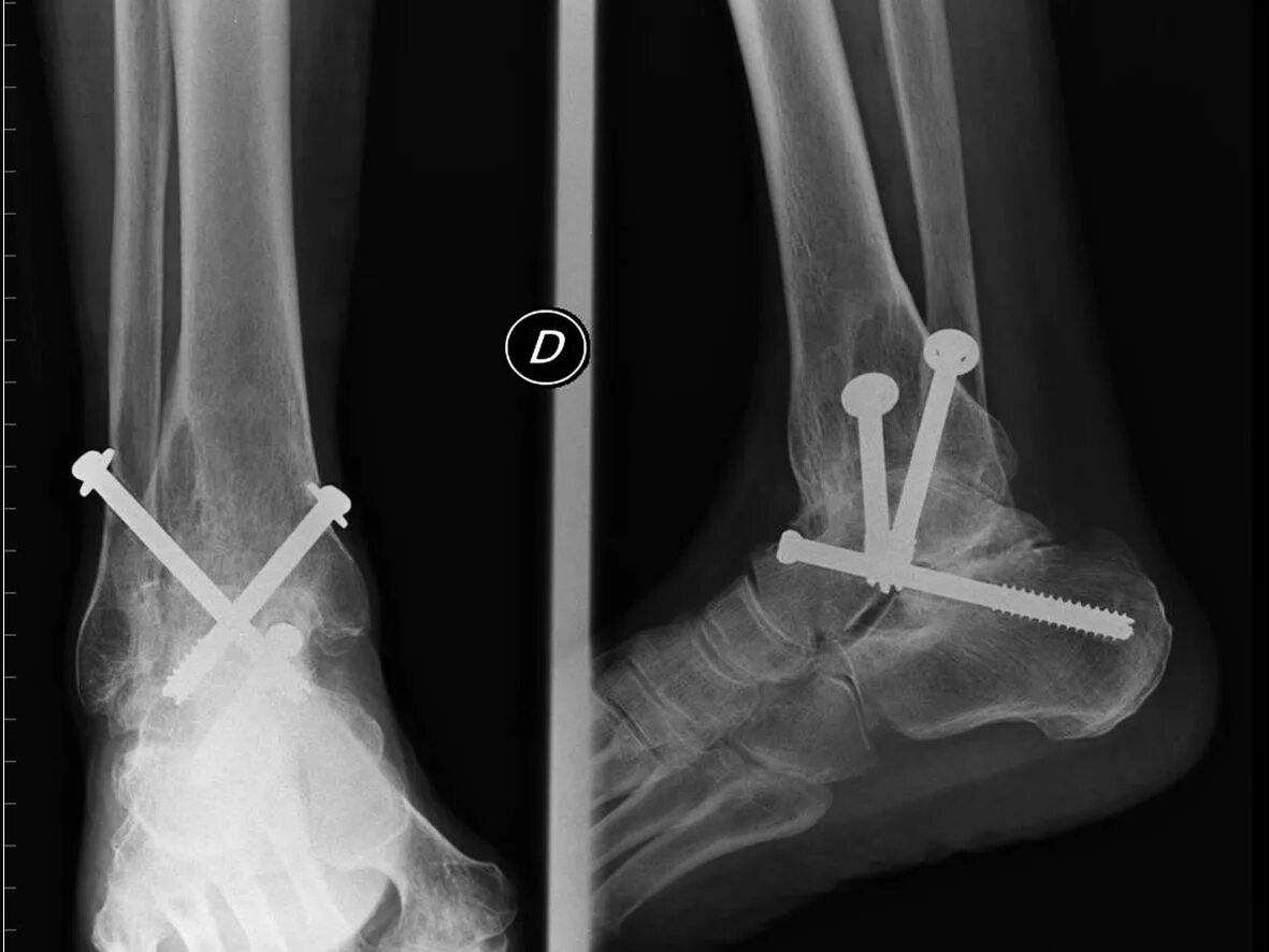
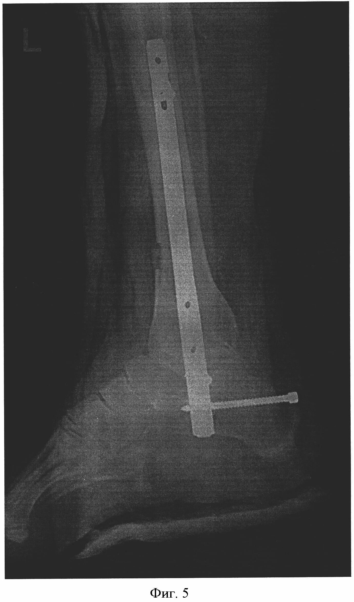
Артродез форум