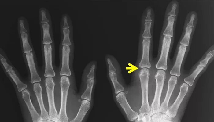
Артроз разница