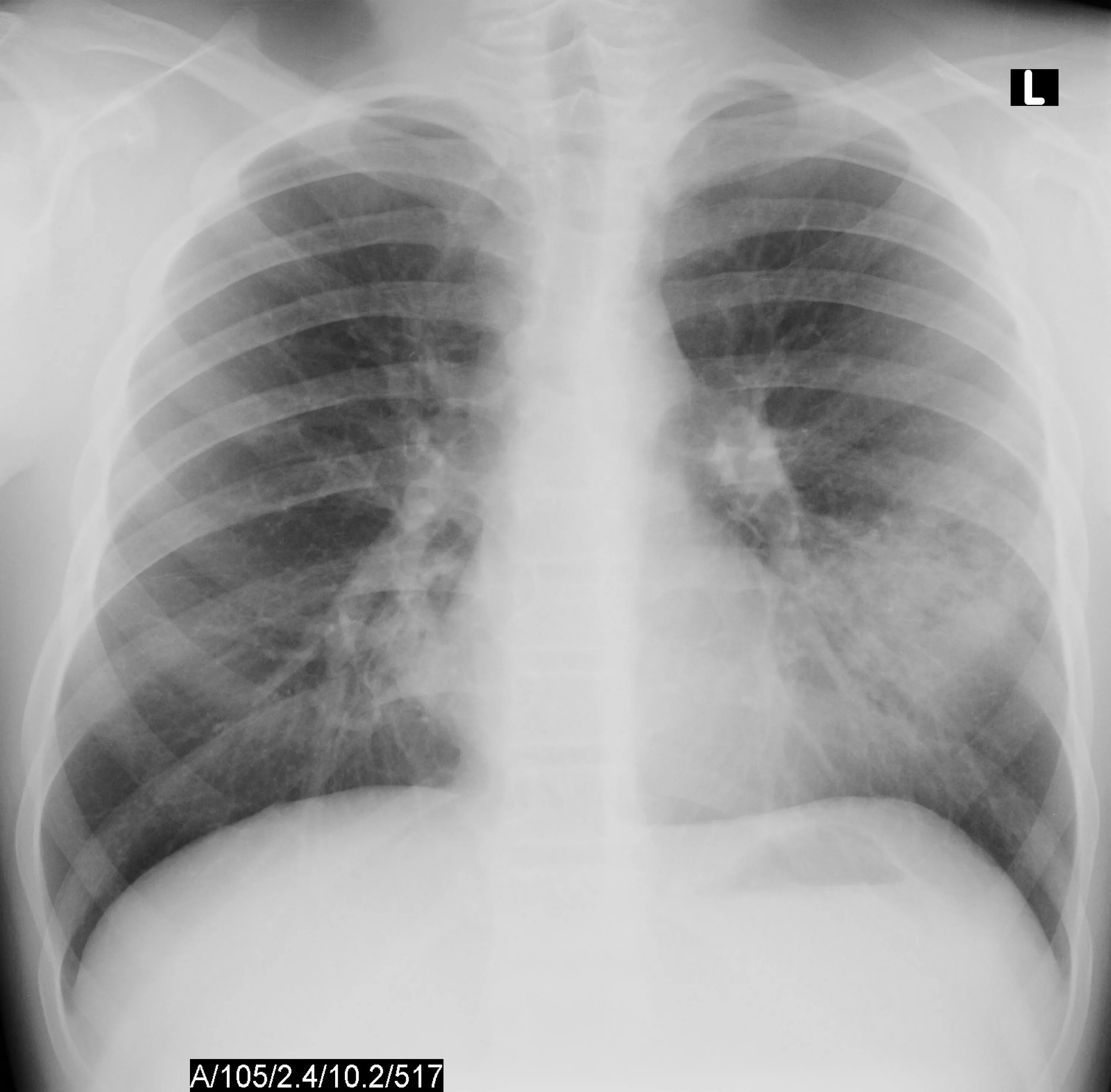
Атипичная пневмония у взрослых