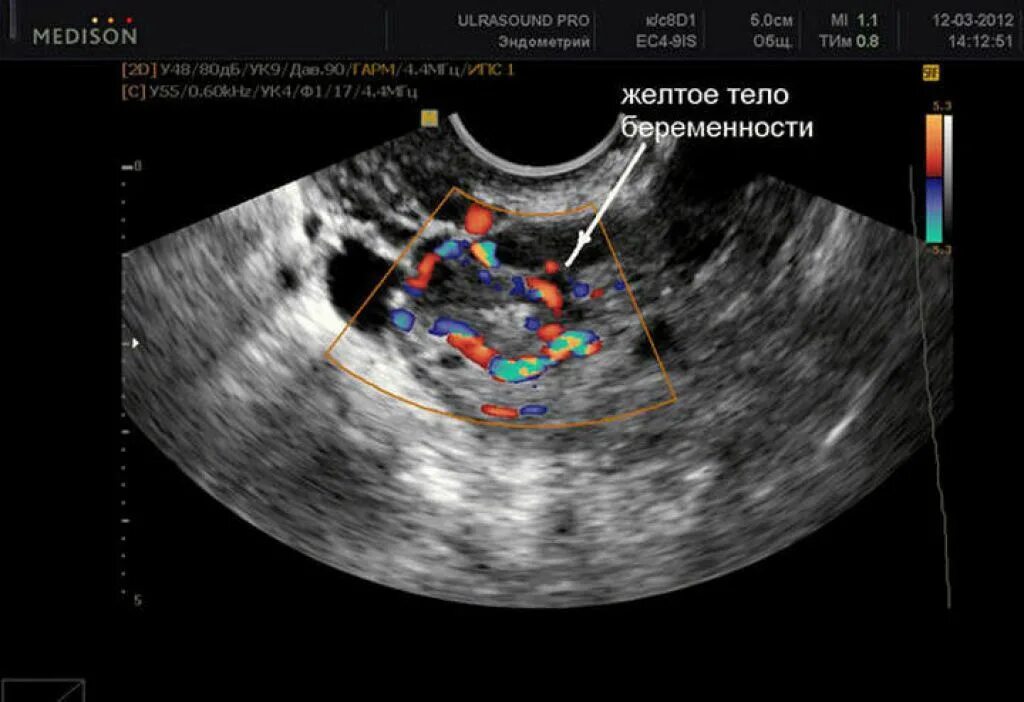
Беременна 2 недели срок