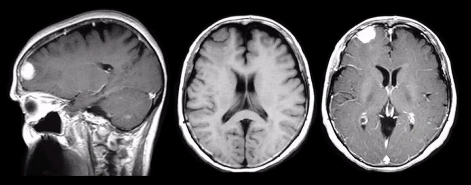
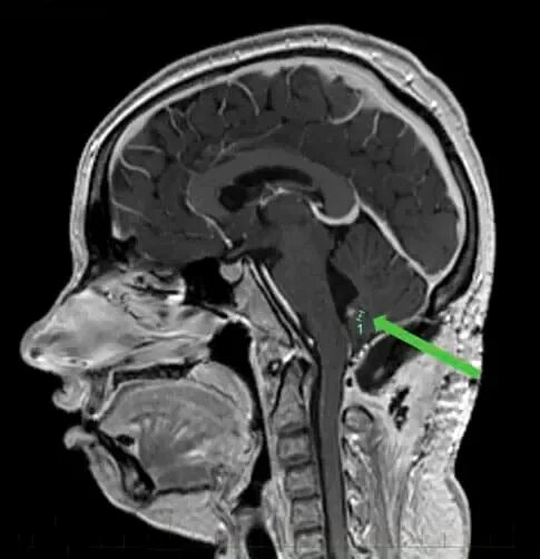
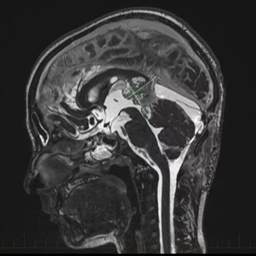
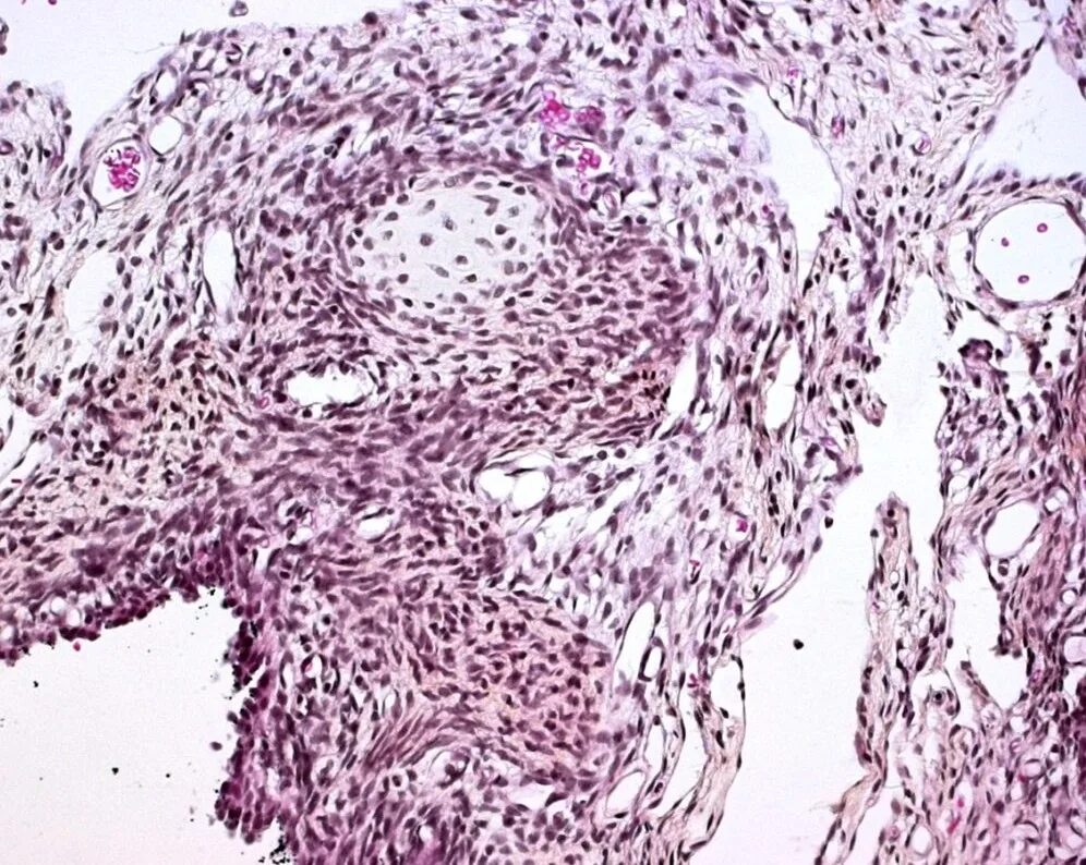
Бластома мозга