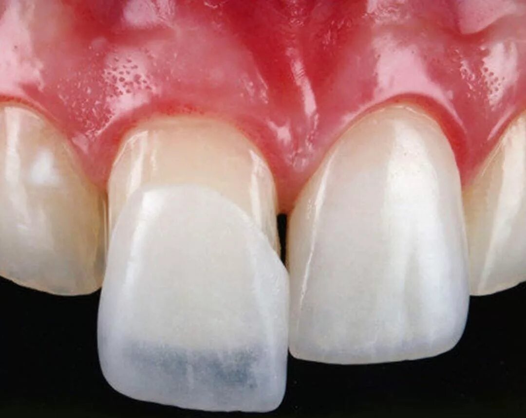
Что такое облицовка зуба