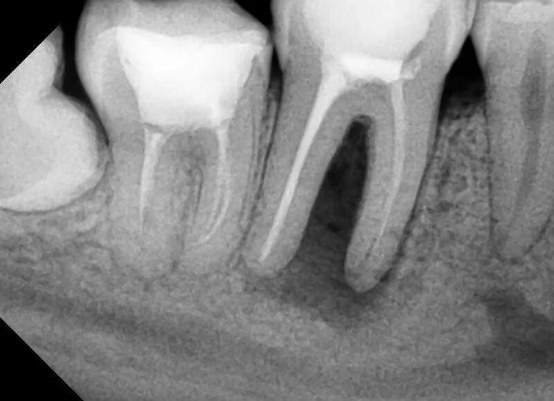
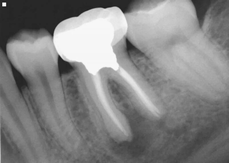
Давление под зубом