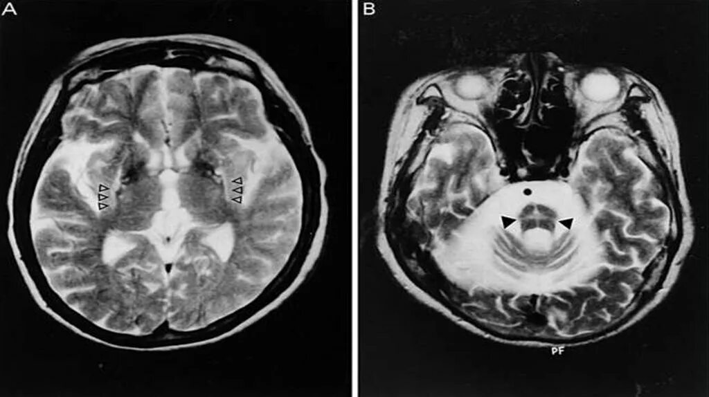
Диффузная церебральная атрофия степени