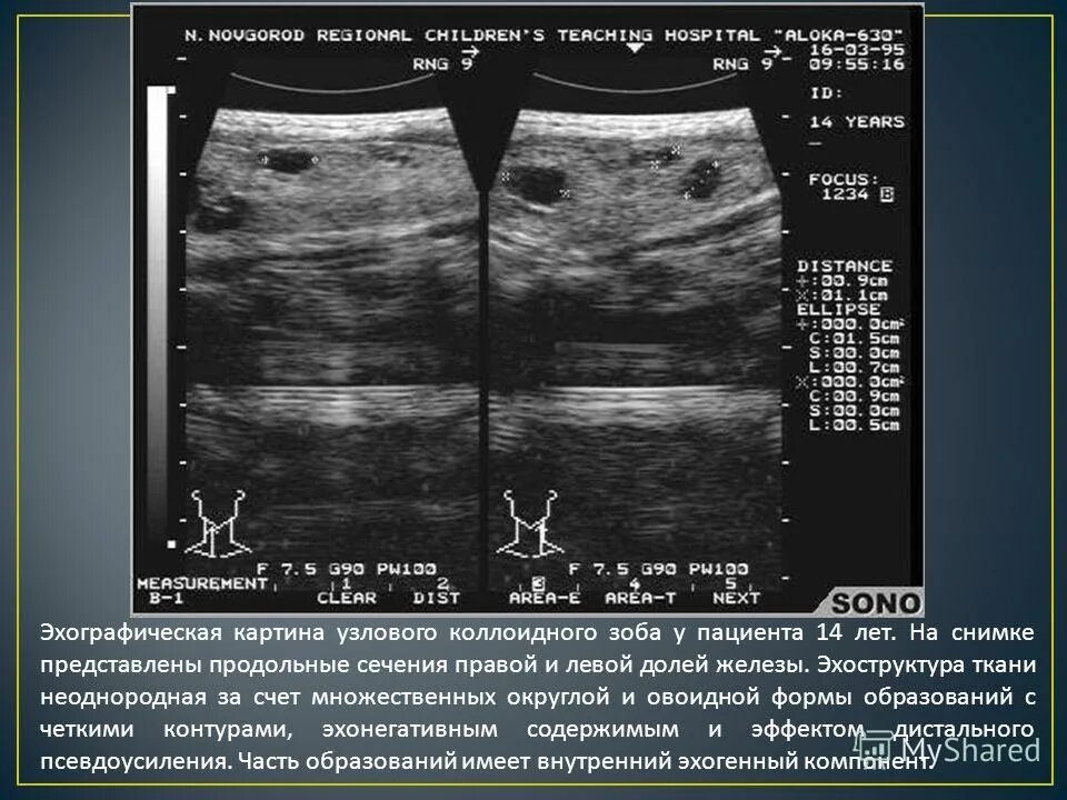
Диффузно неоднородно что значит