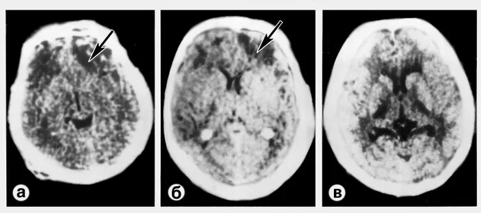
Диффузное поражение головного мозга