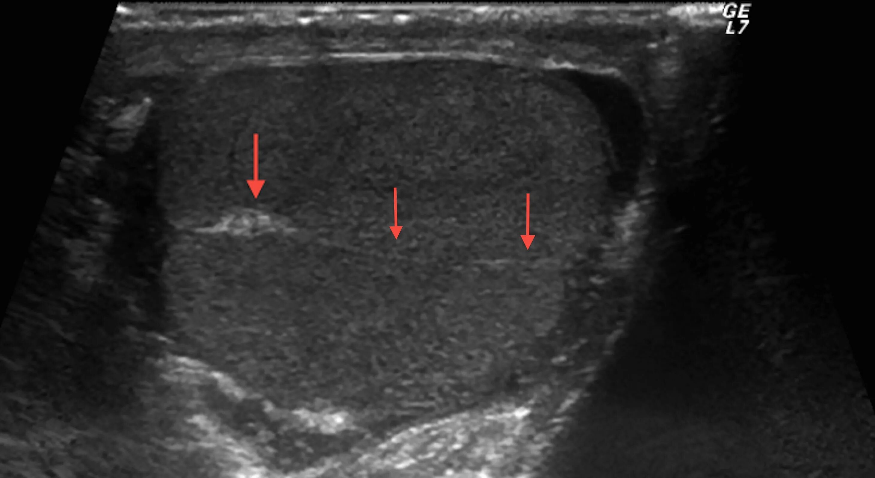
Диффузные изменения яичек