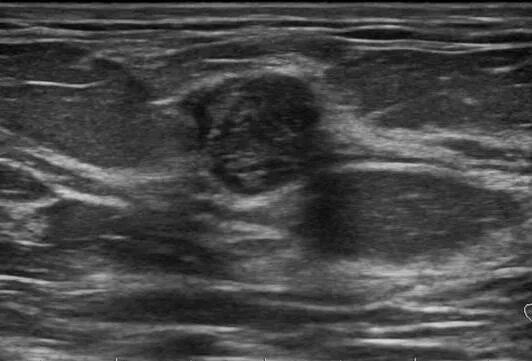
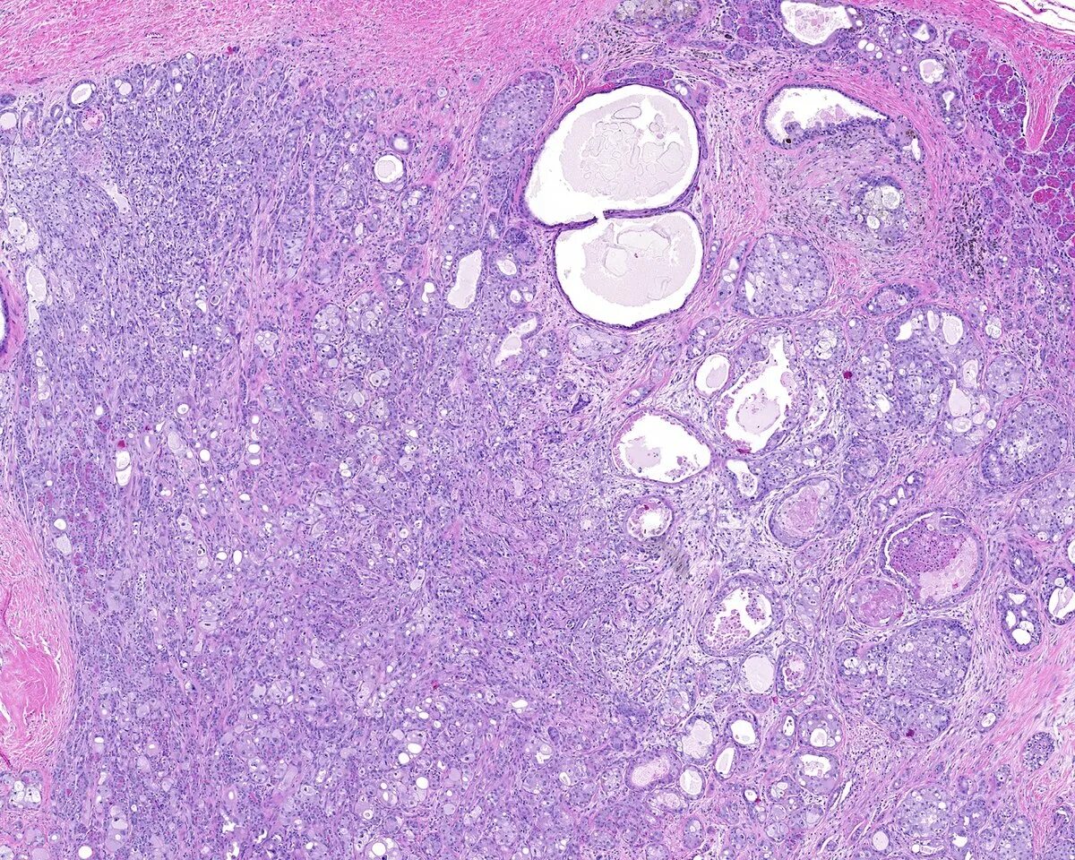
Диффузный аденоз