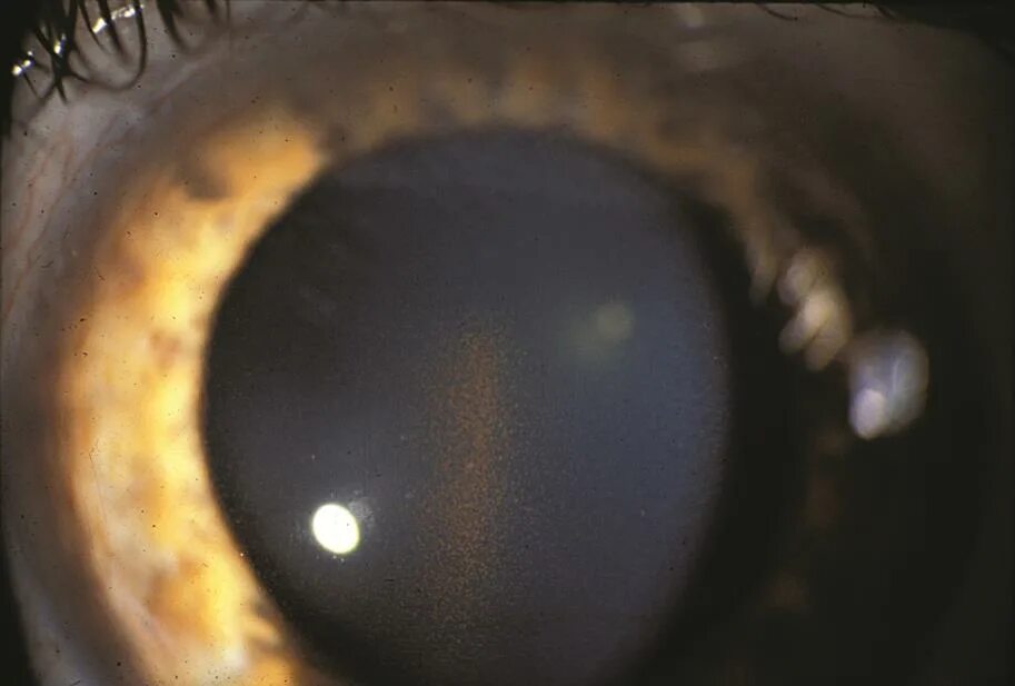
Дисперсия синдром