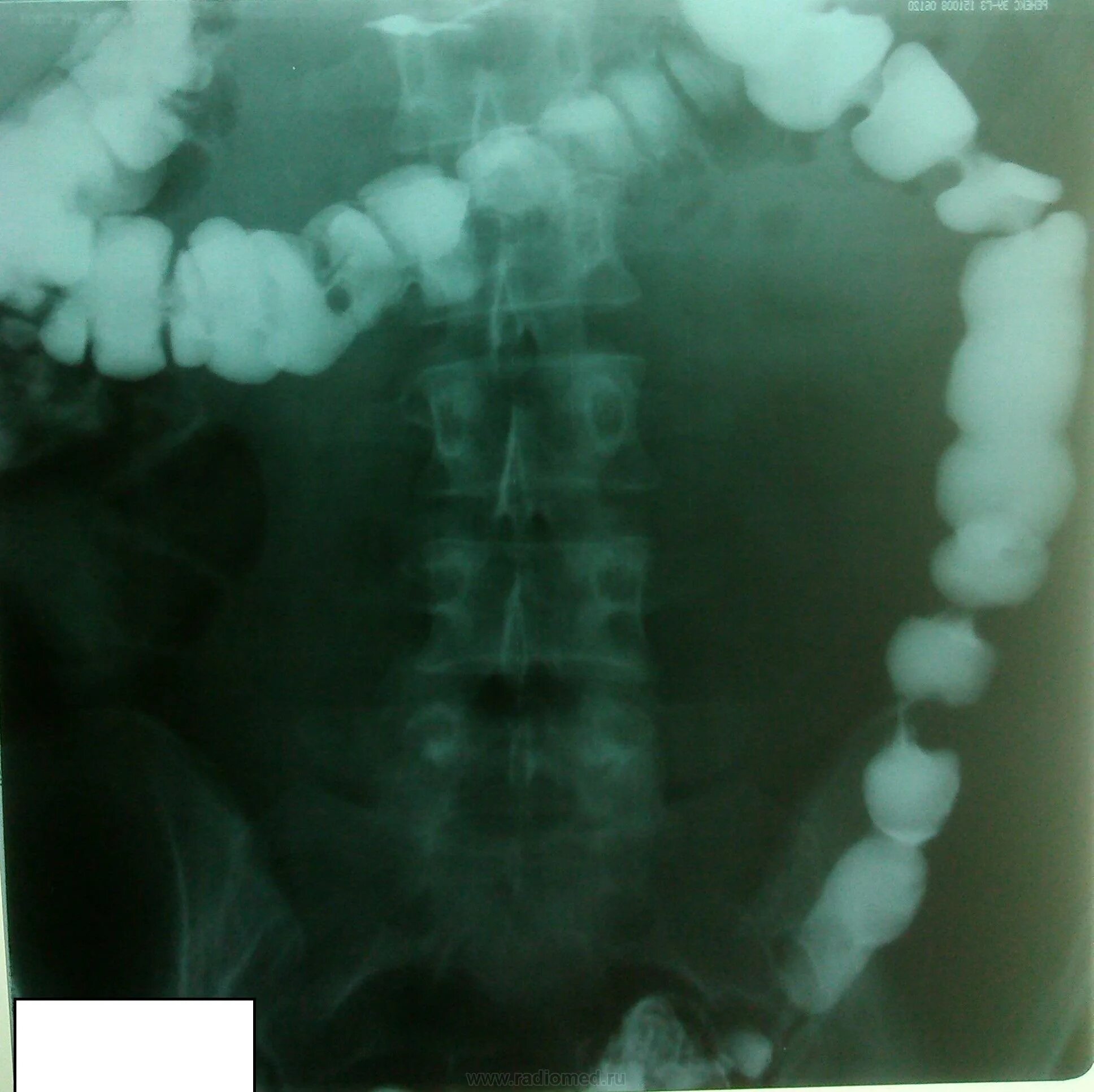
Долихосигма кишечника у ребенка