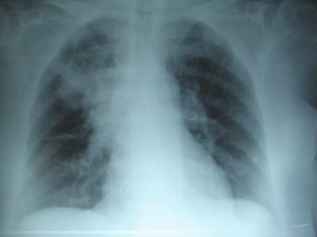
Двух воспаления легких