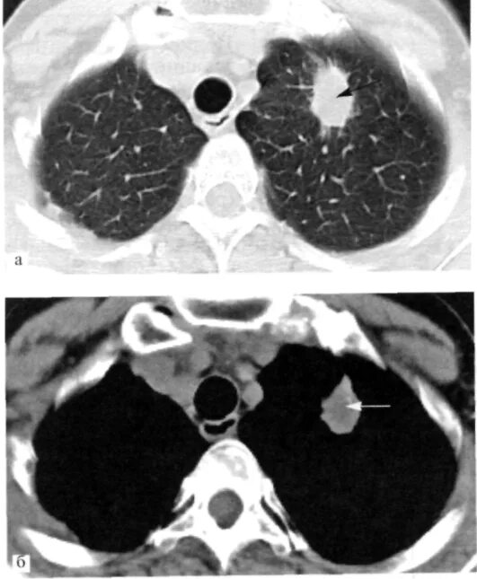
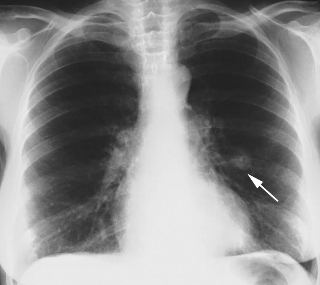
Единичные солидные узелки в легких