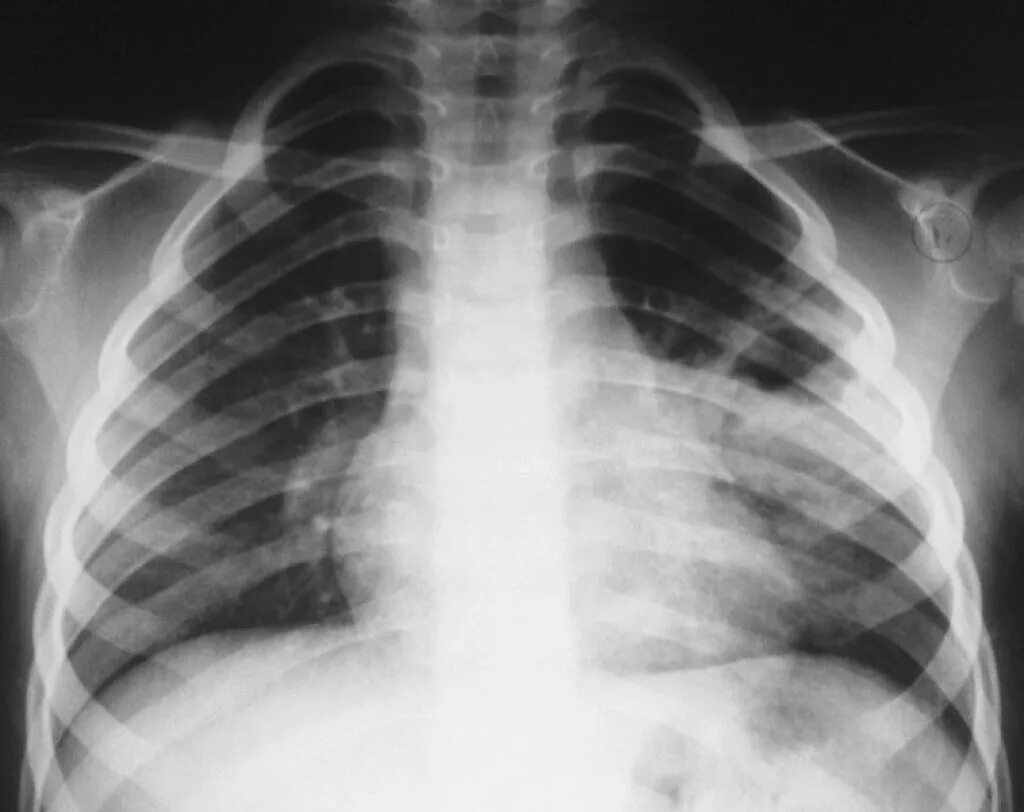
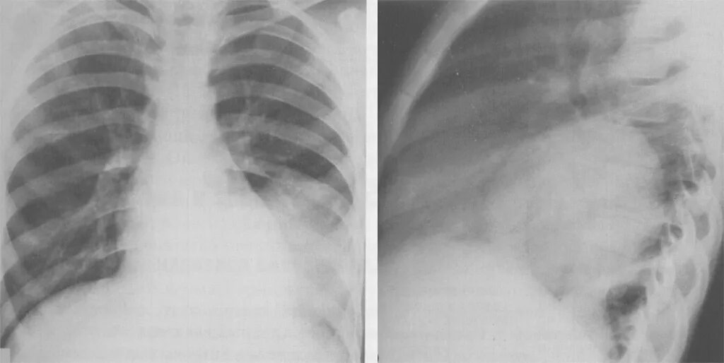
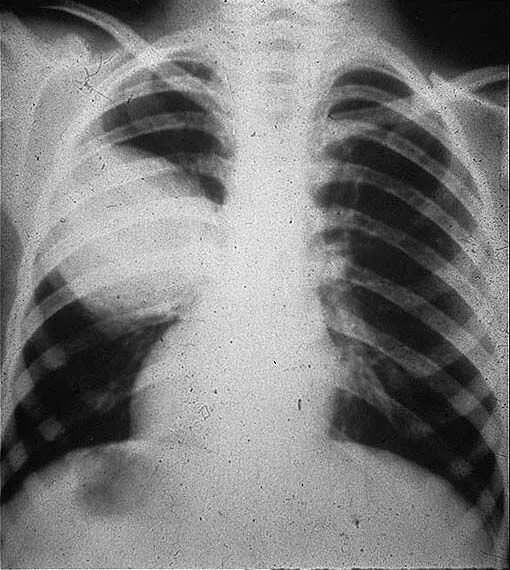
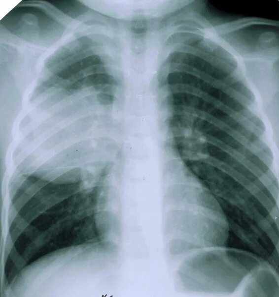
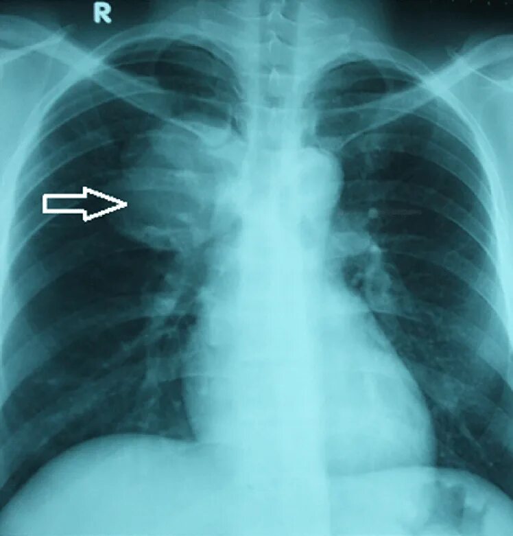
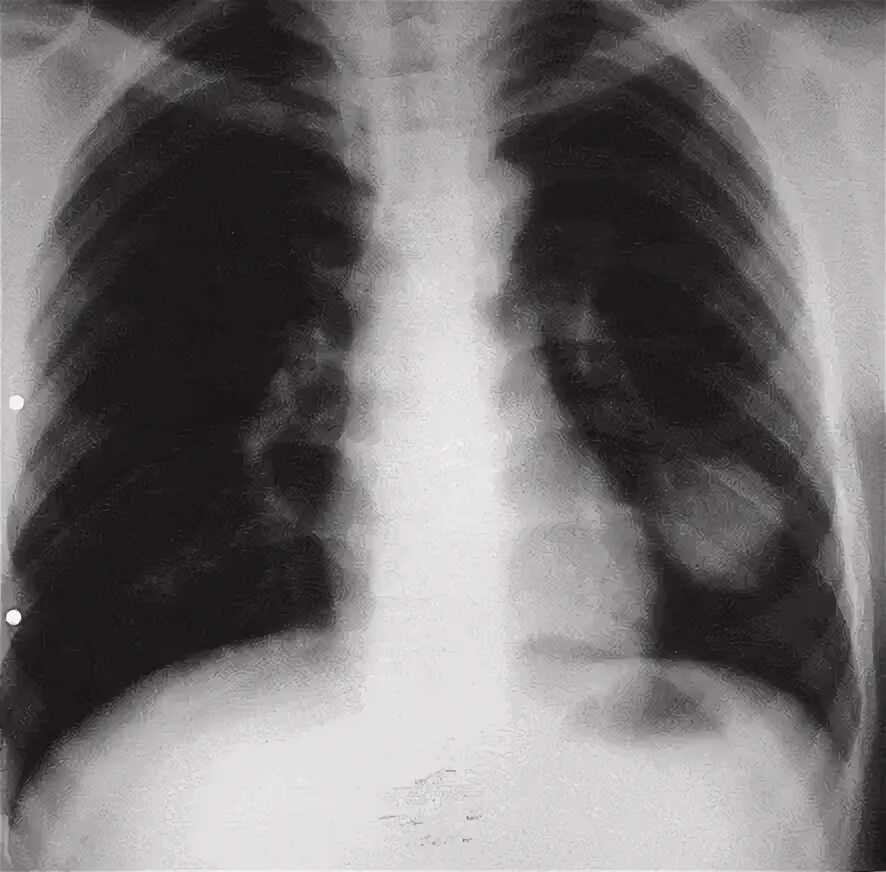
Эхиноккоз