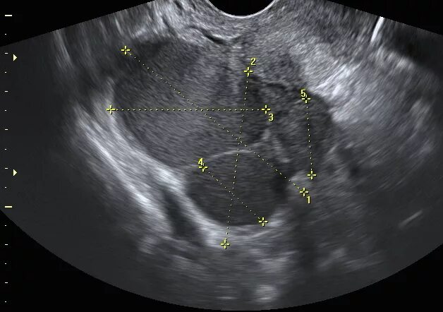
Эхо признаки кисты