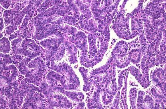
Эндоцервикс клетки метаплазированного эпителия