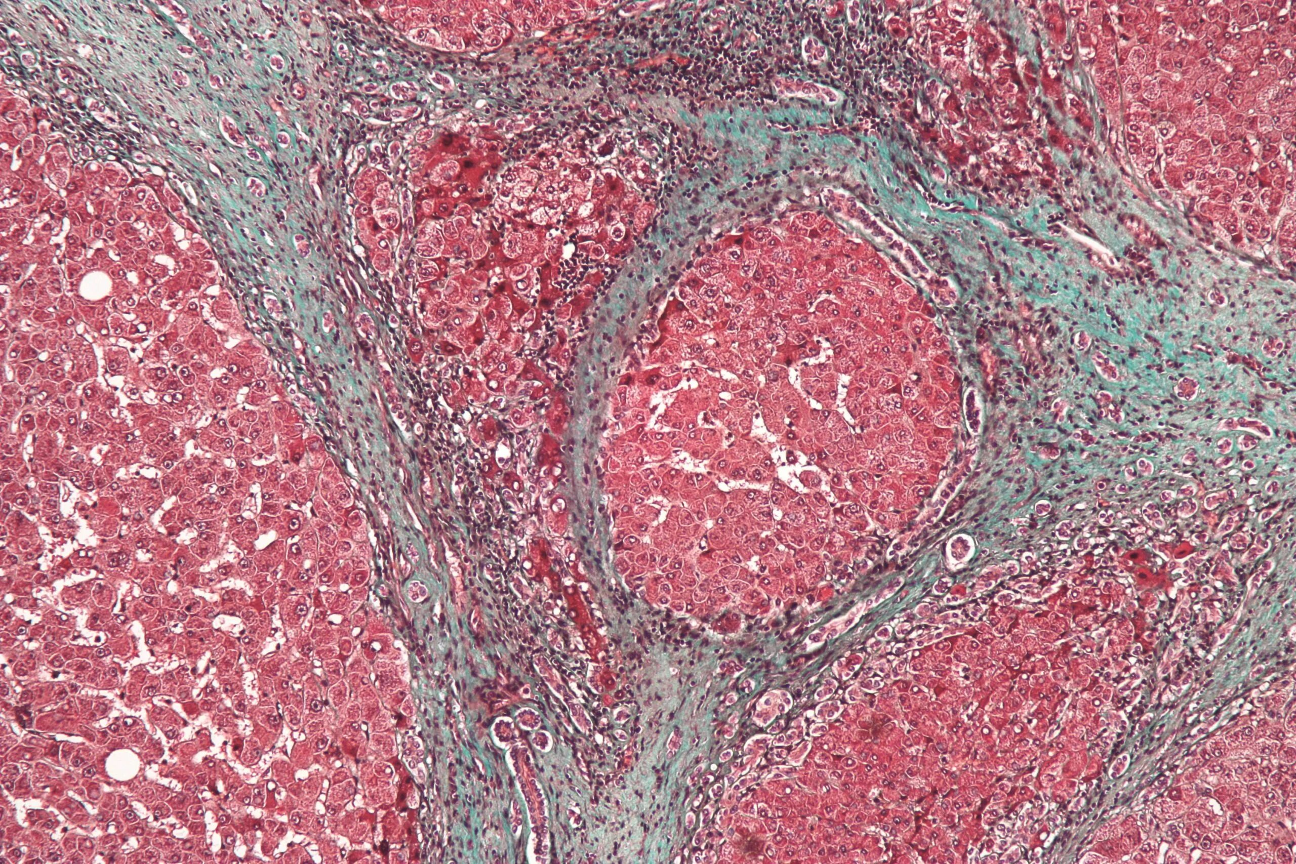
Фиброз 1 степени