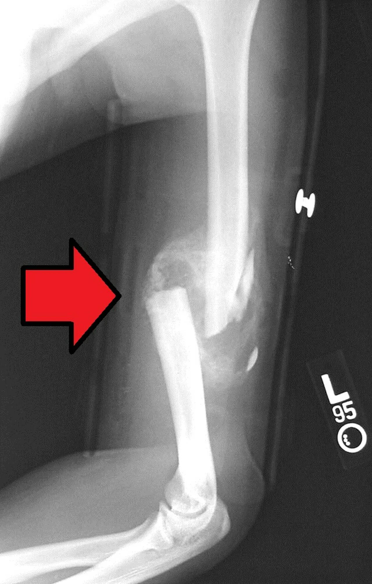
Формирование мозоли при переломе