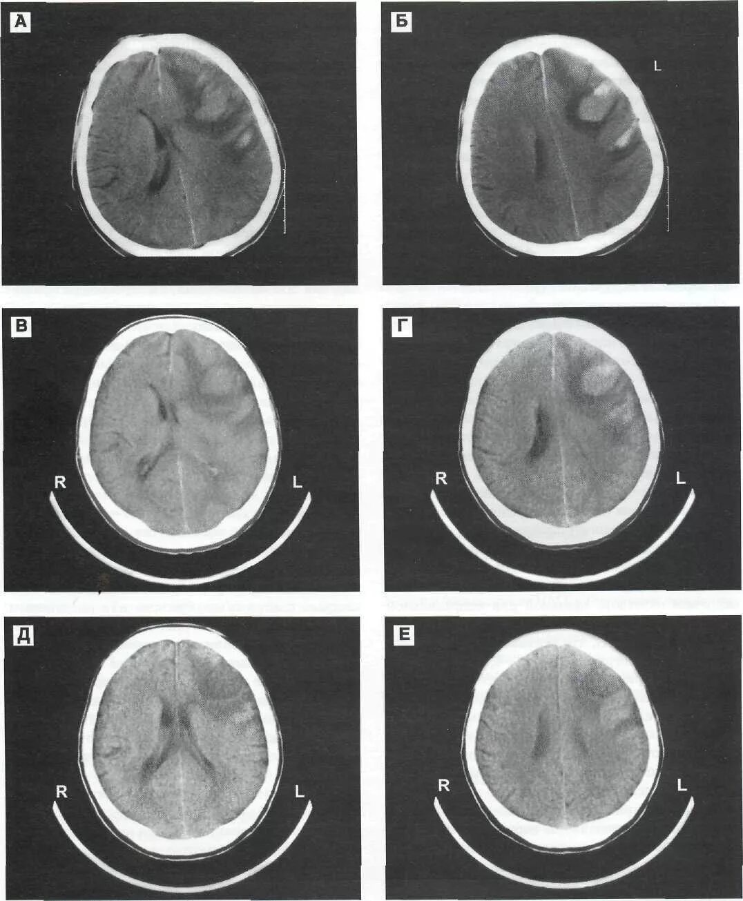
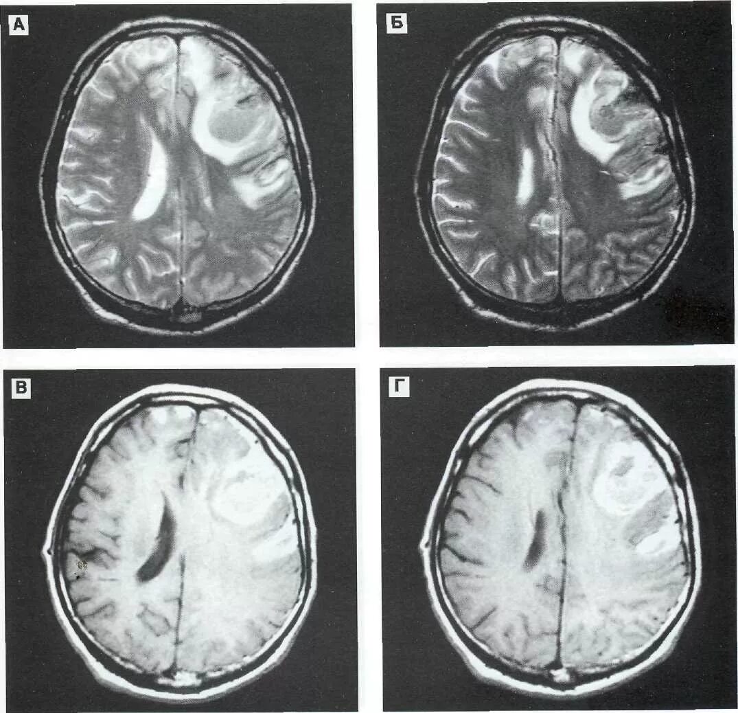
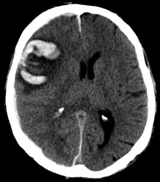
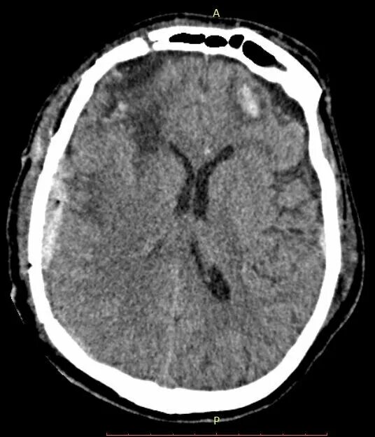
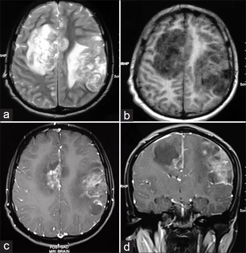
Гематома лобной