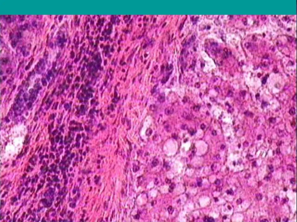
Гепатит с исходом в цирроз печени