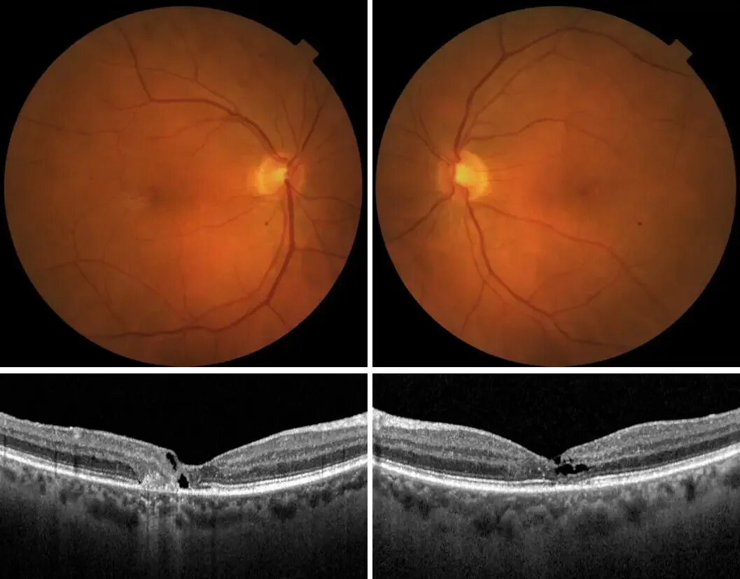
Глаз после операции на сетчатке