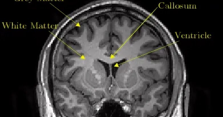
Grey matter