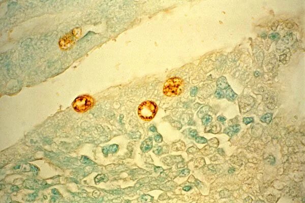
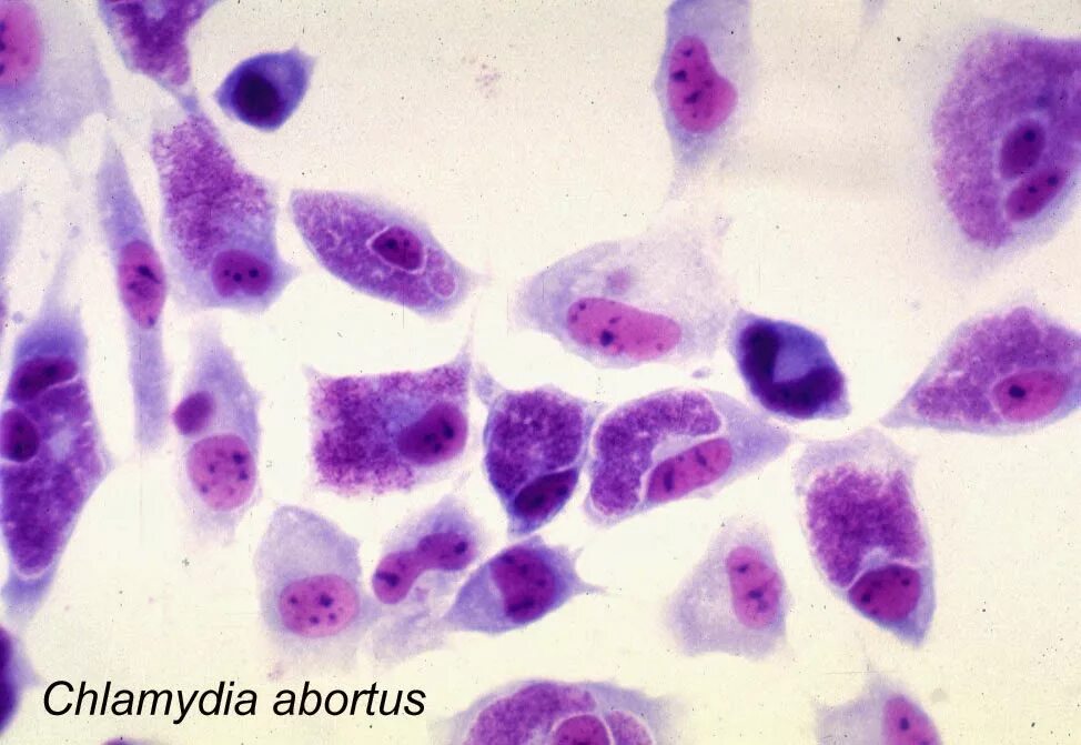
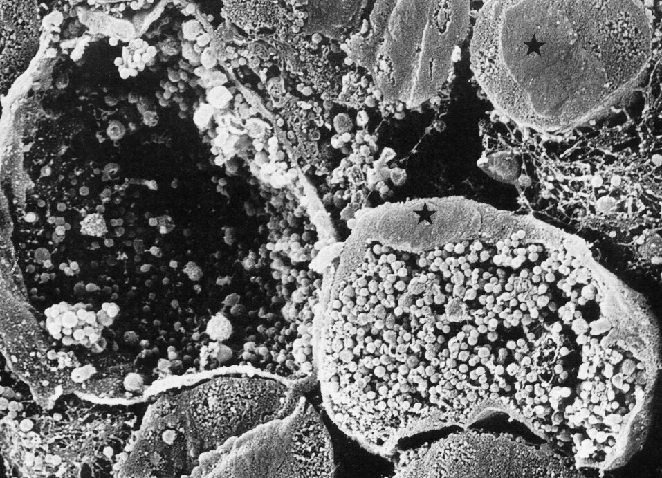
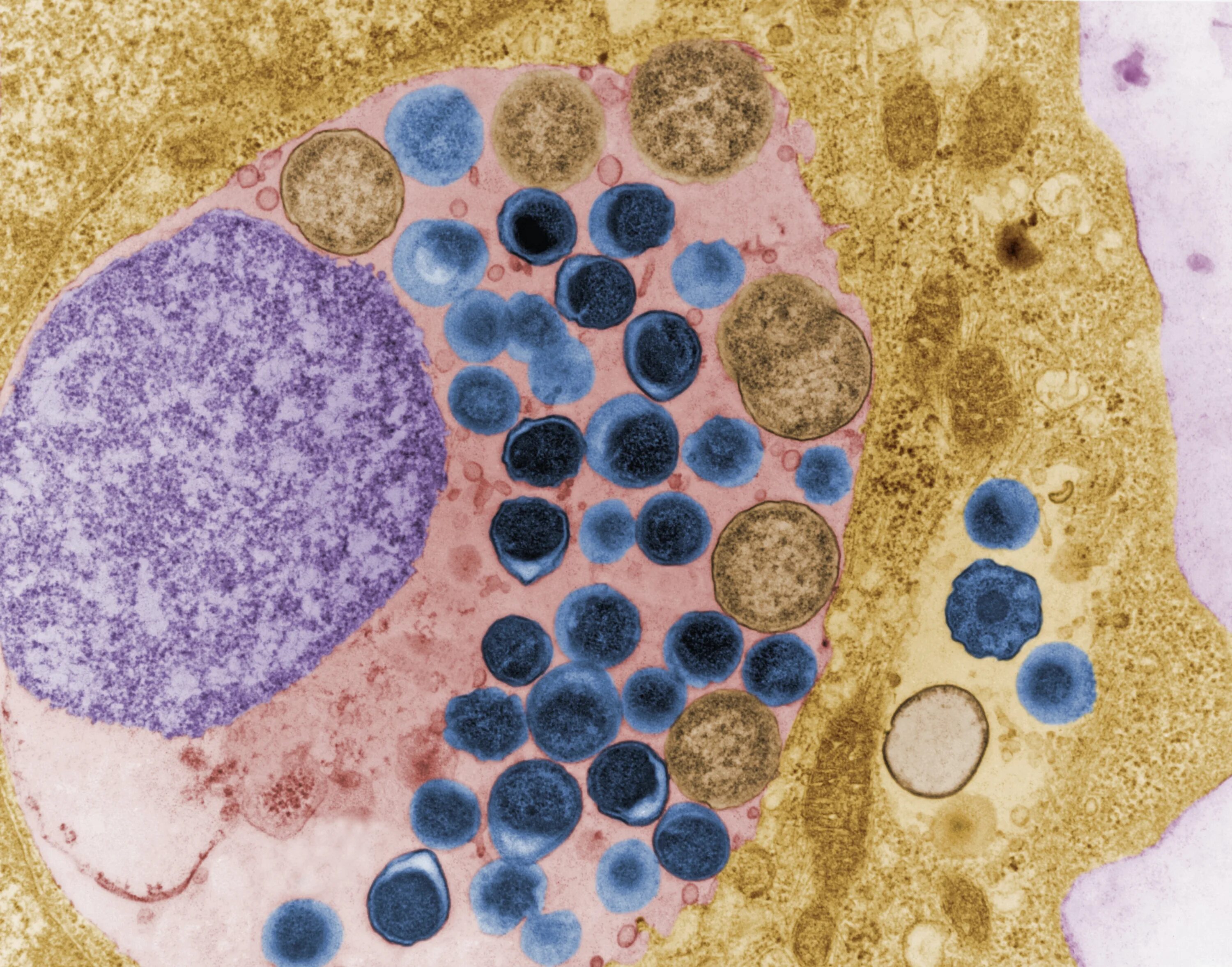
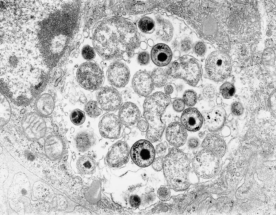
Хламидии под микроскопом