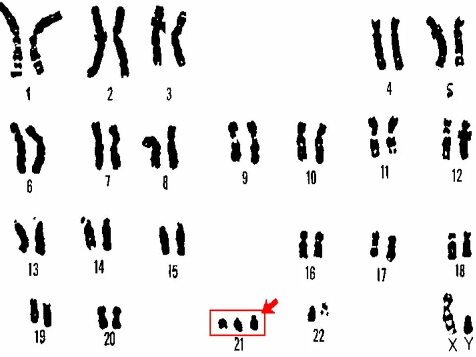
Хромосомный трисомии