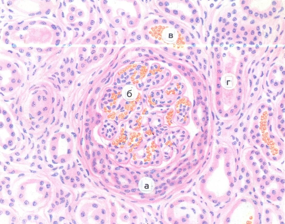
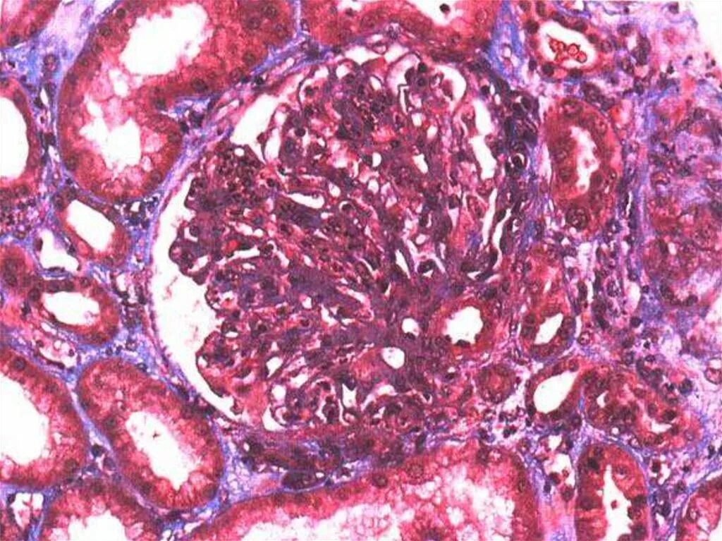
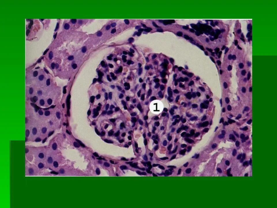
Интракапиллярный гломерулонефрит