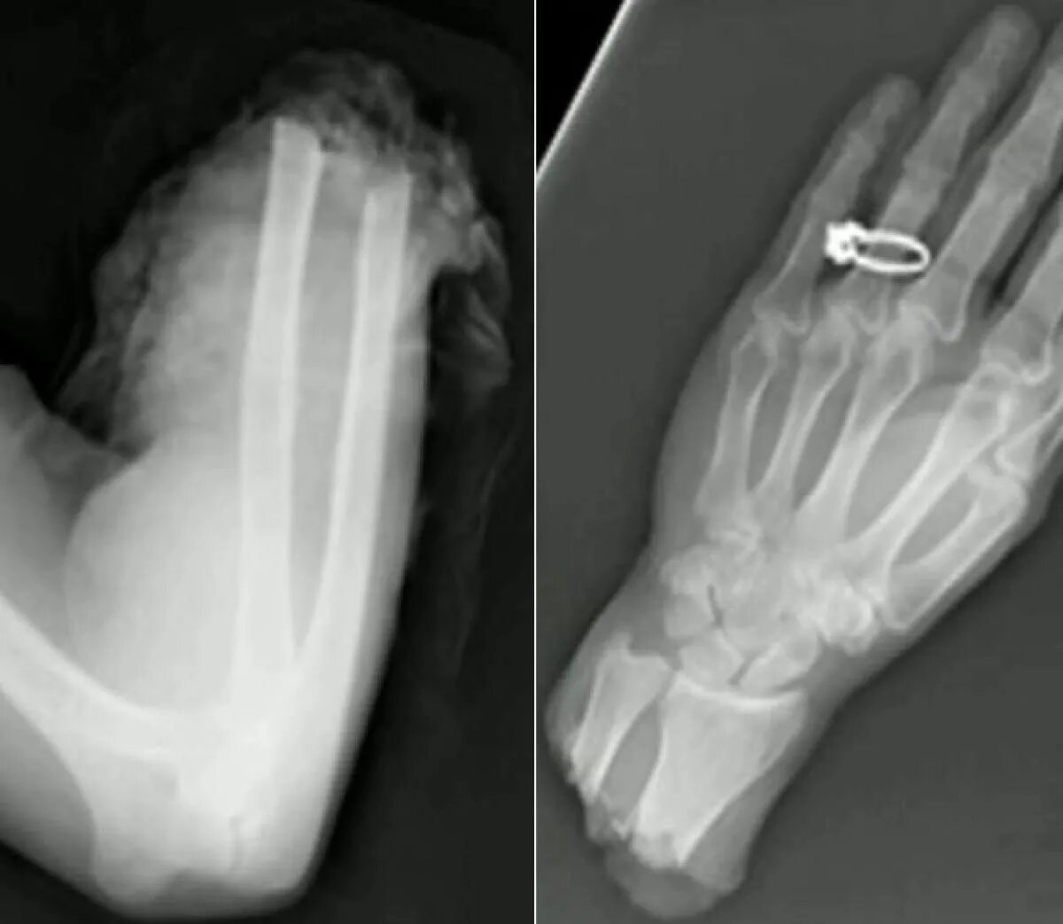
Как часто можно рентген