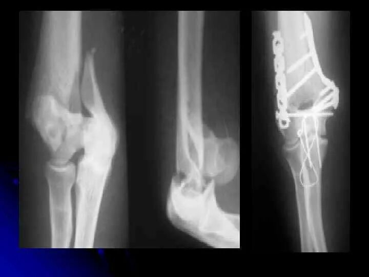
Как разрабатывать руку перелом локтевого сустава