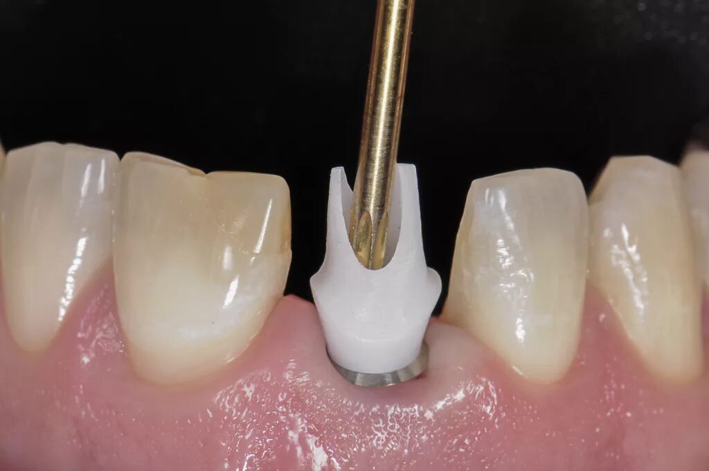
Как ставят коронку на зуб