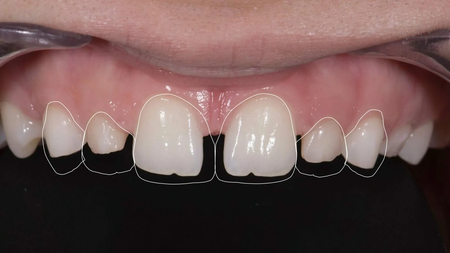
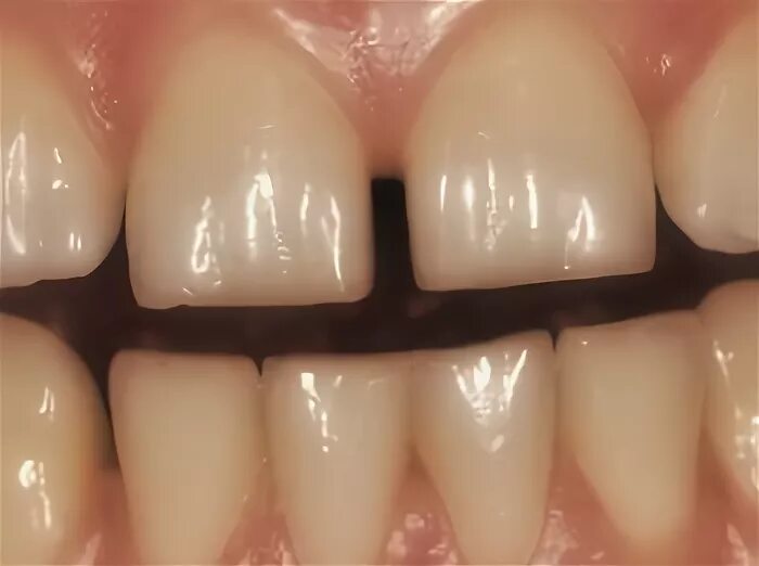
Как убрать щель