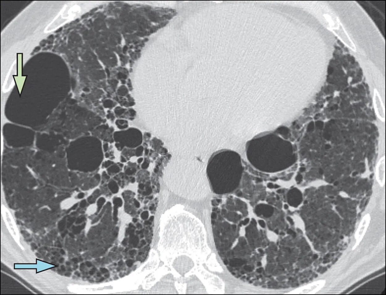
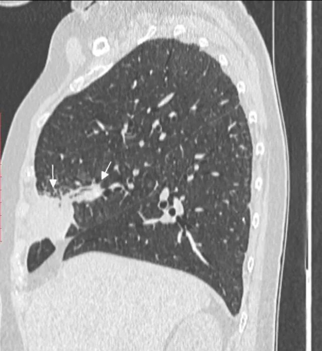
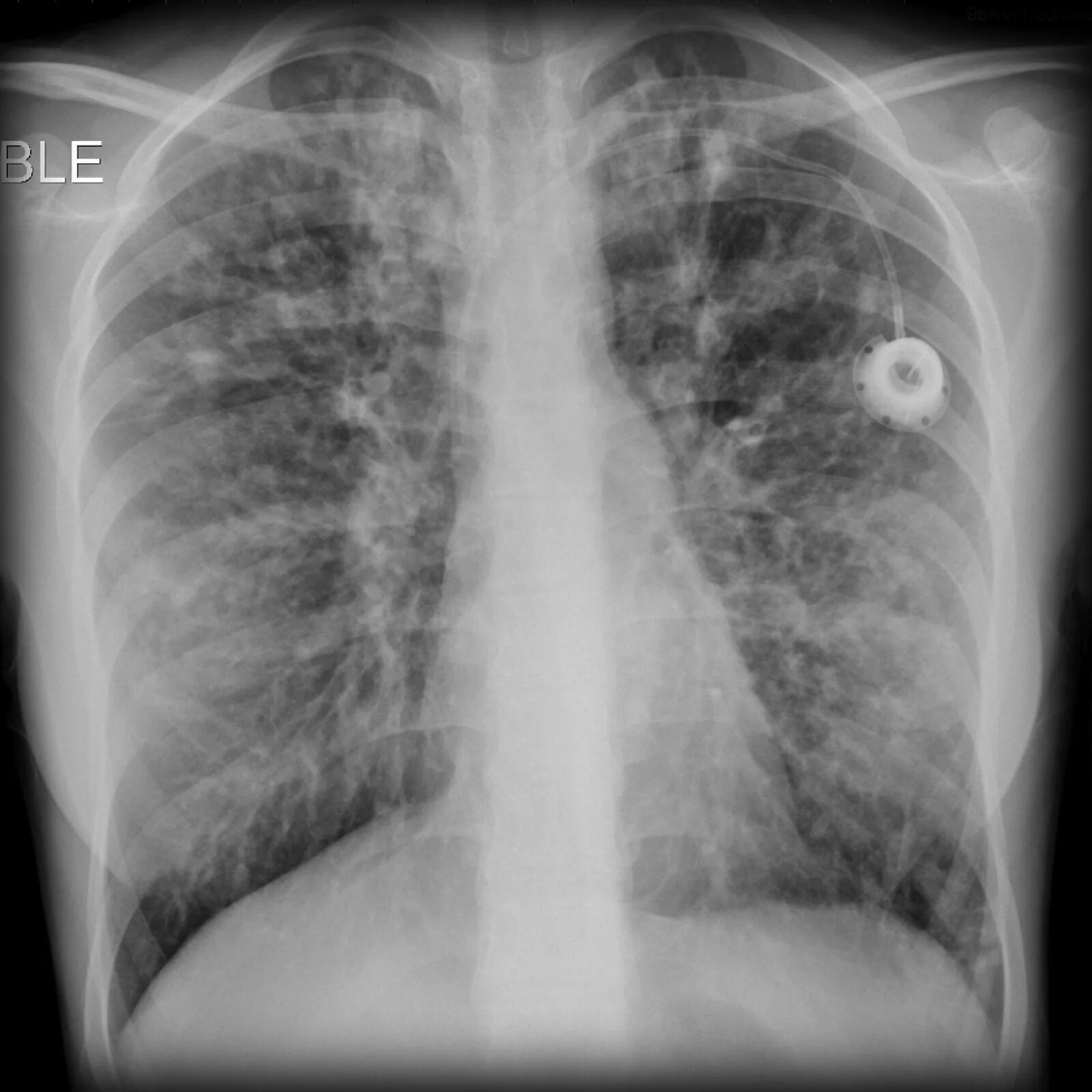
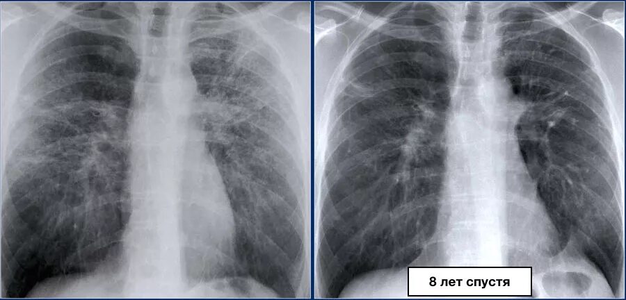
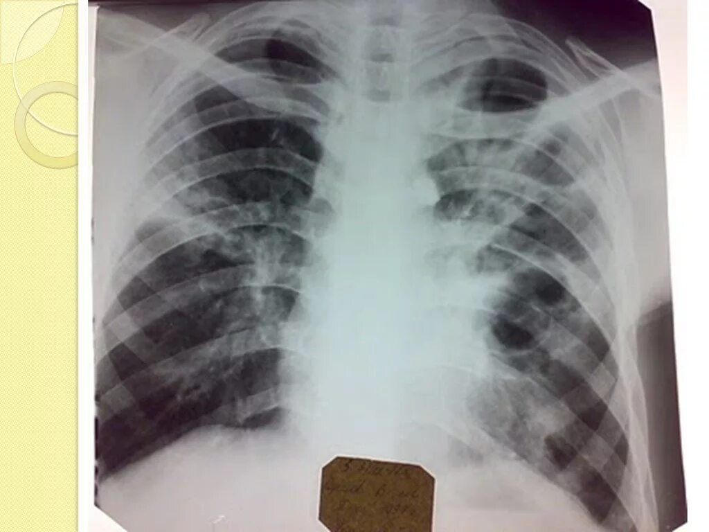
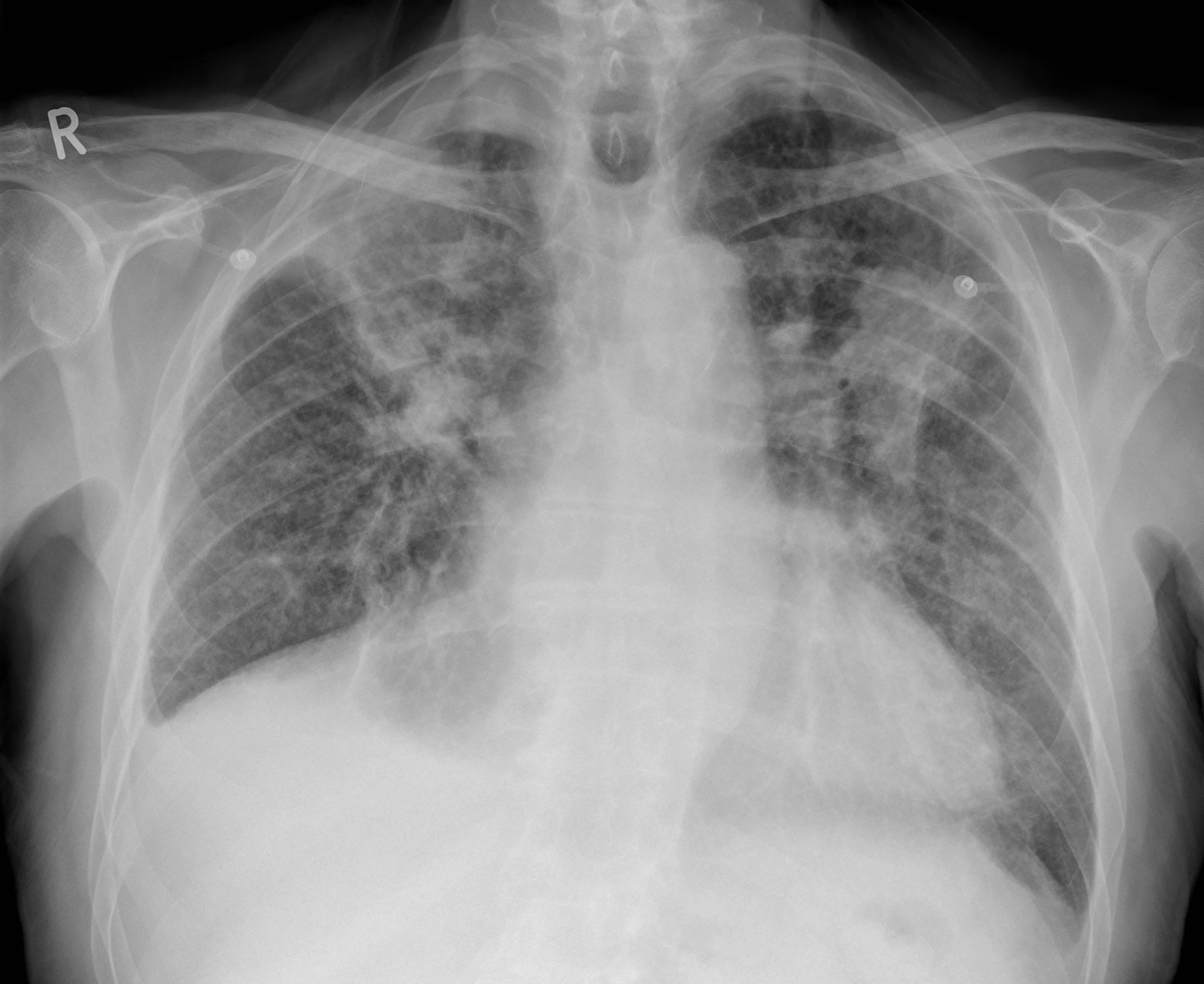
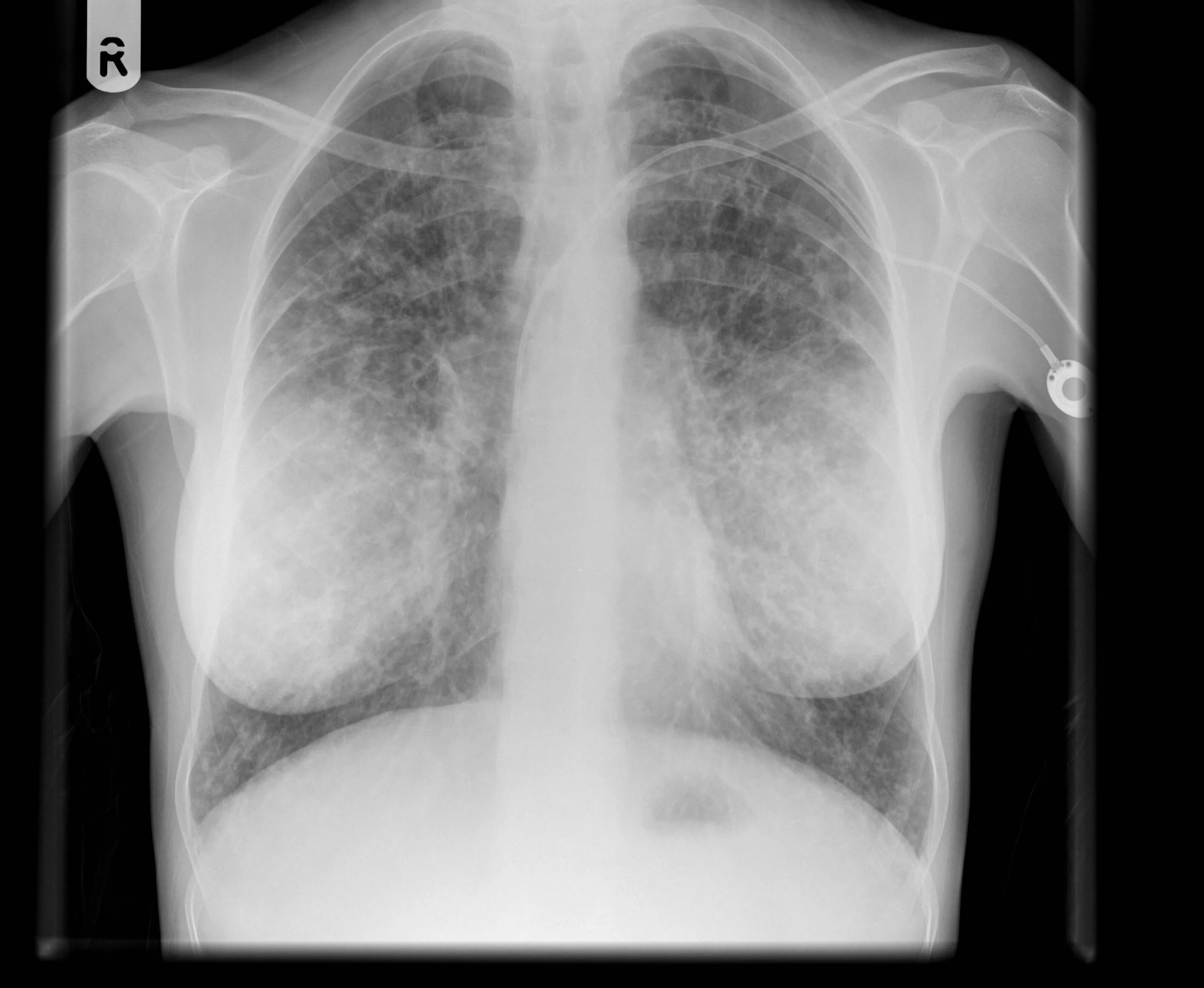
Как выглядит фиброз легких