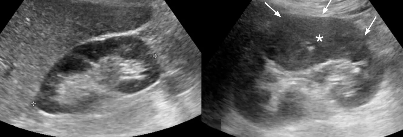
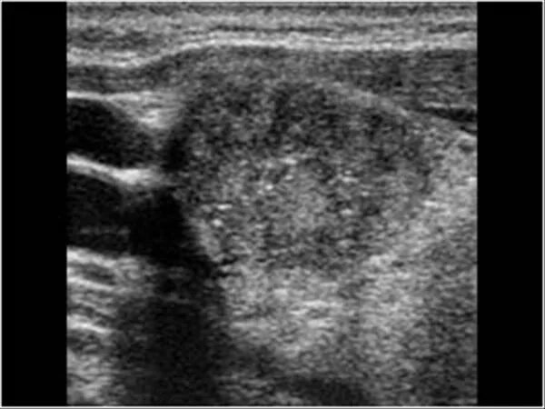
Кальцинат узи