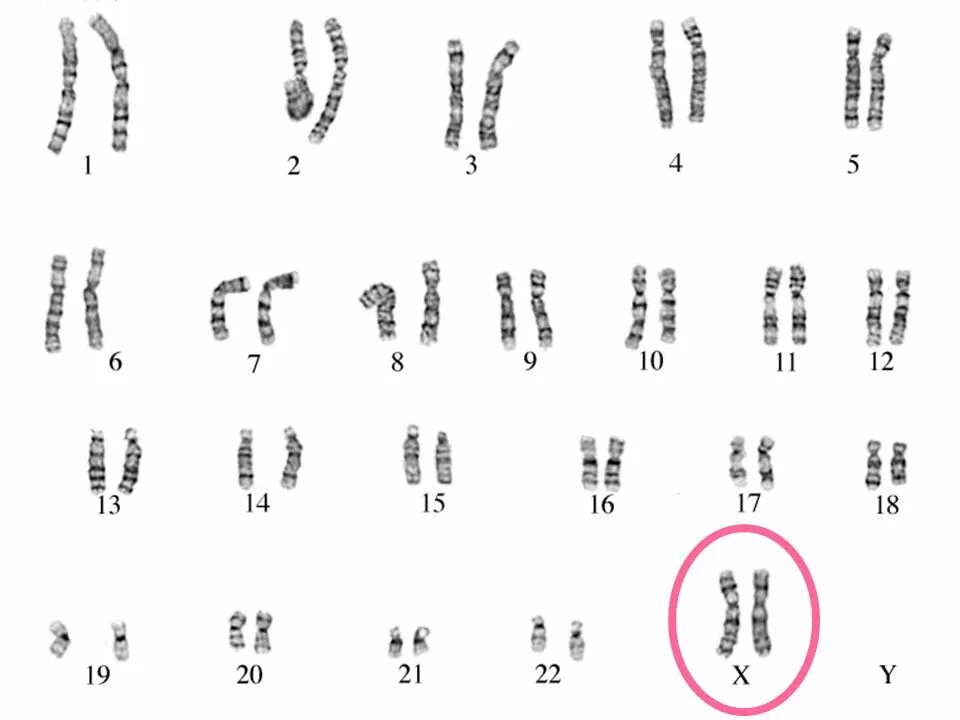
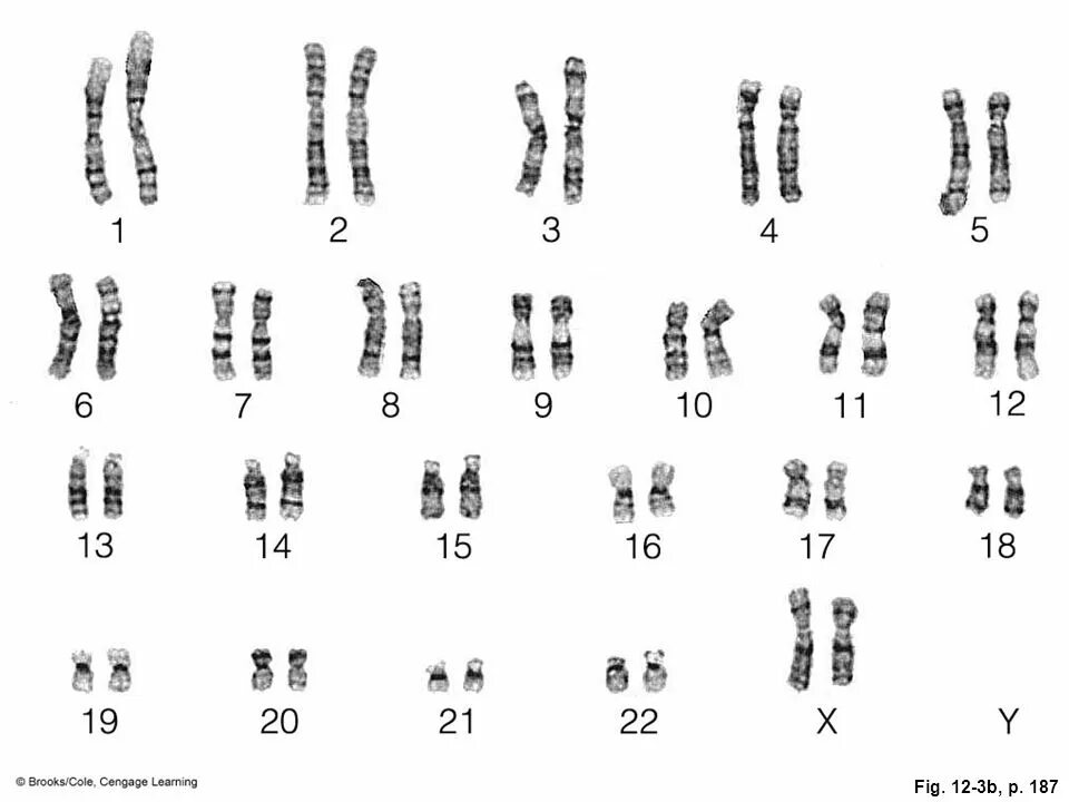
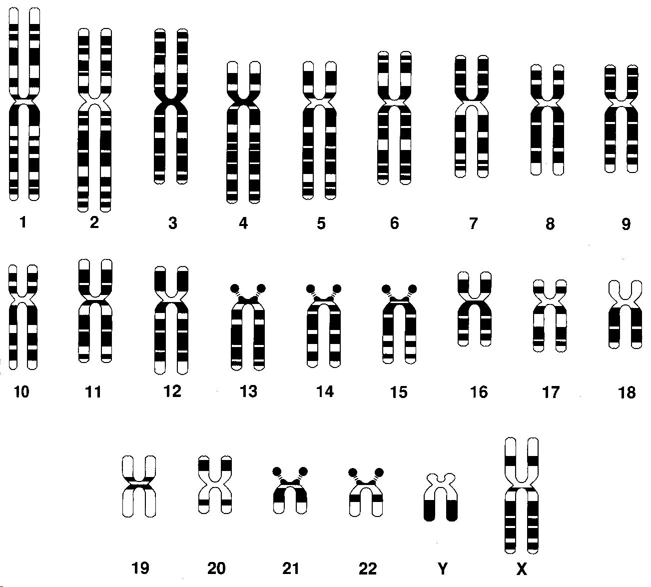
Кариотип человека генетика