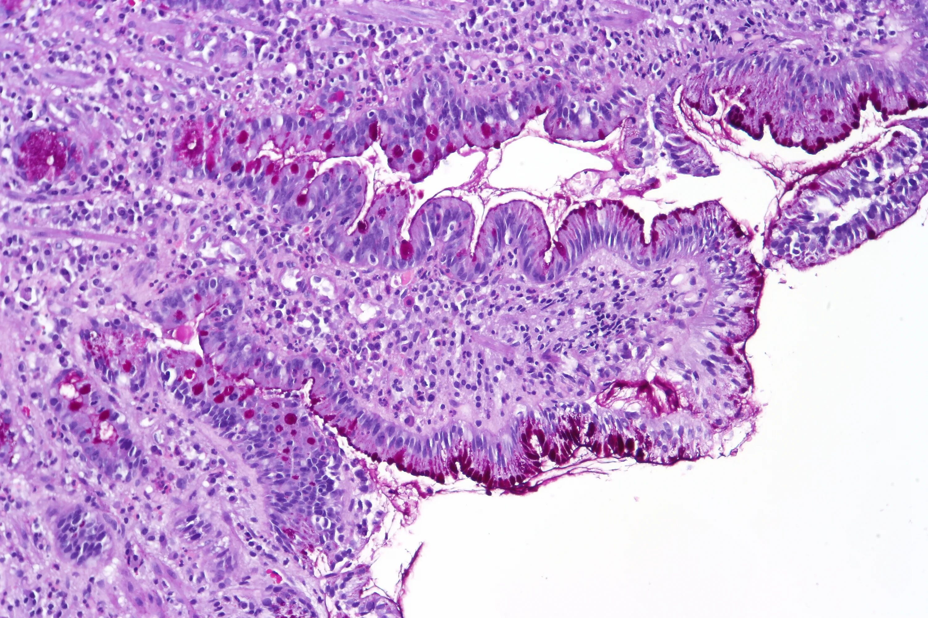
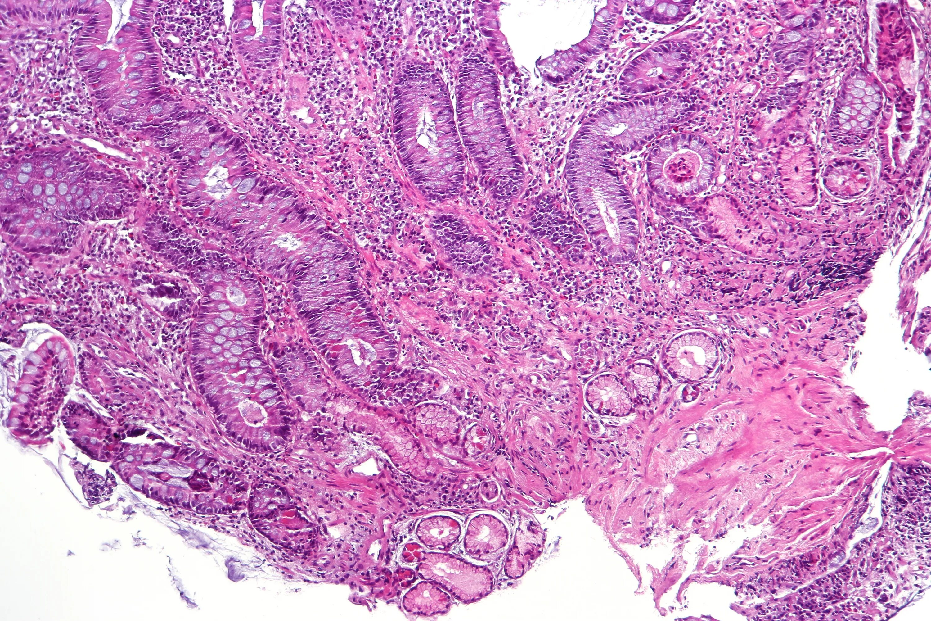
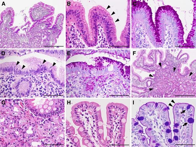
Кишечная метаплазия эпителия желез