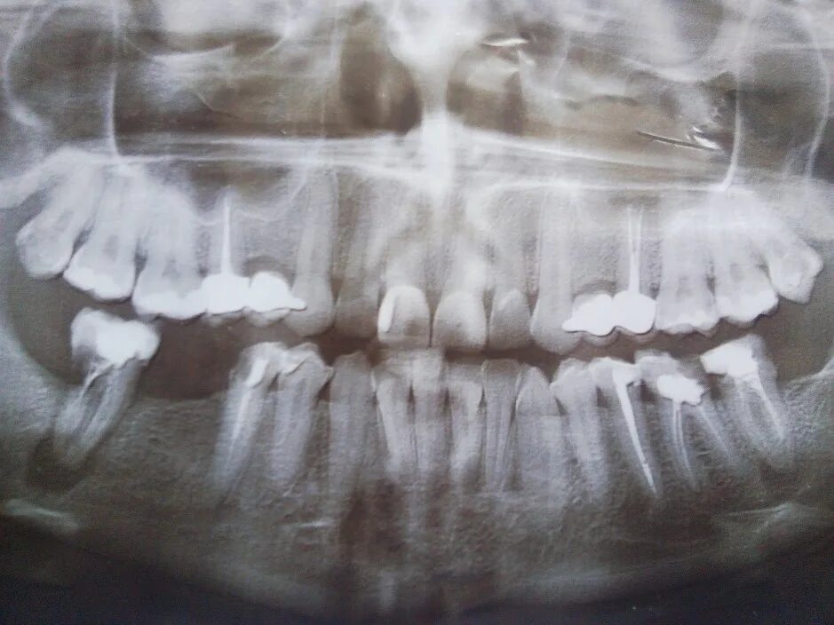
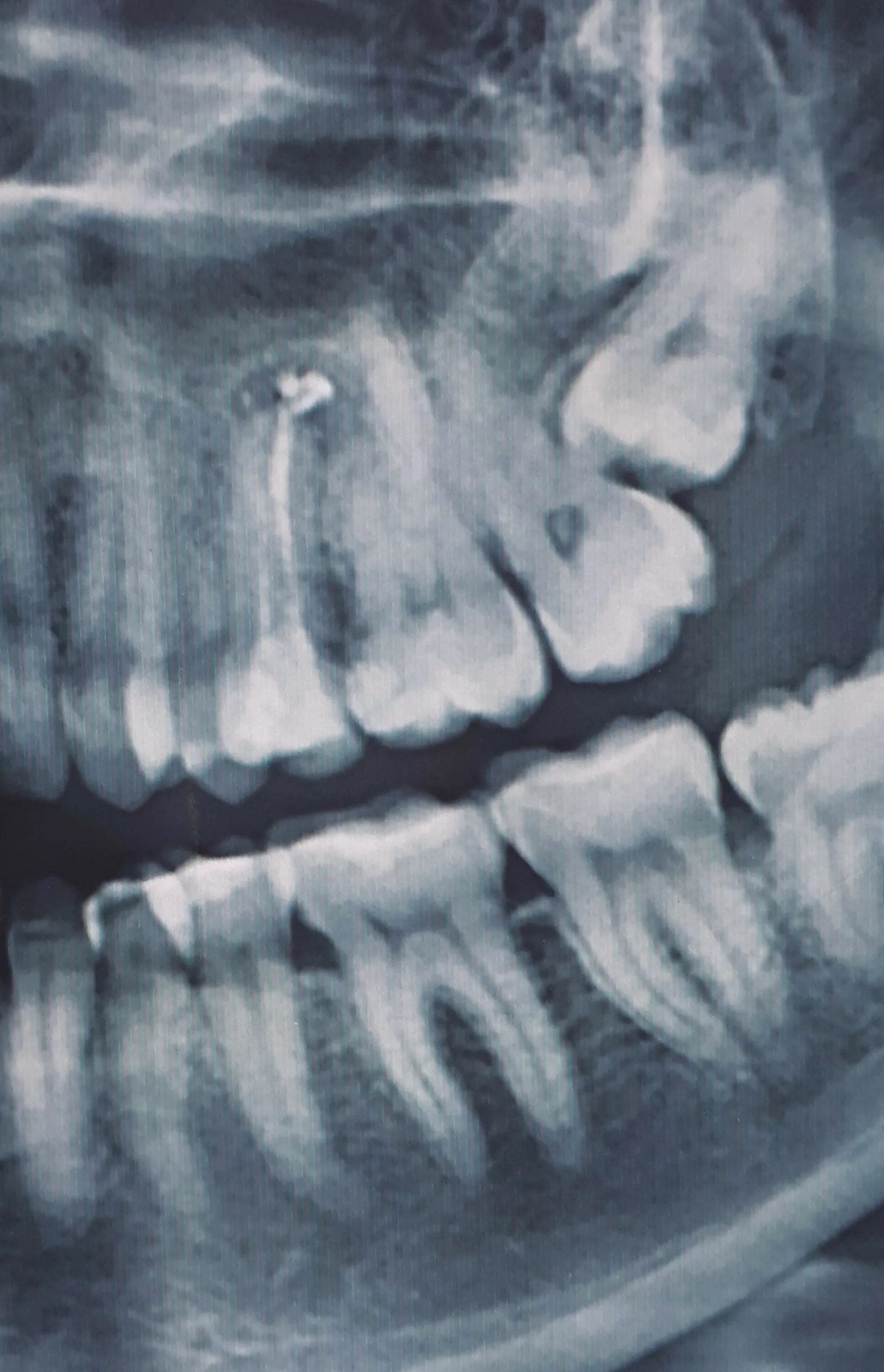
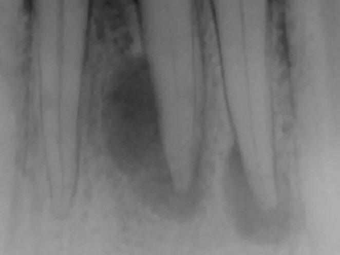
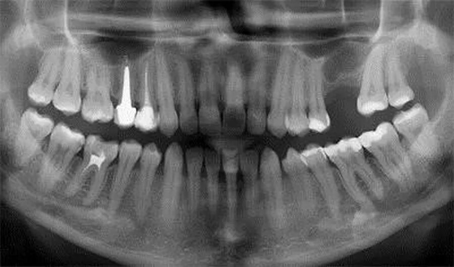
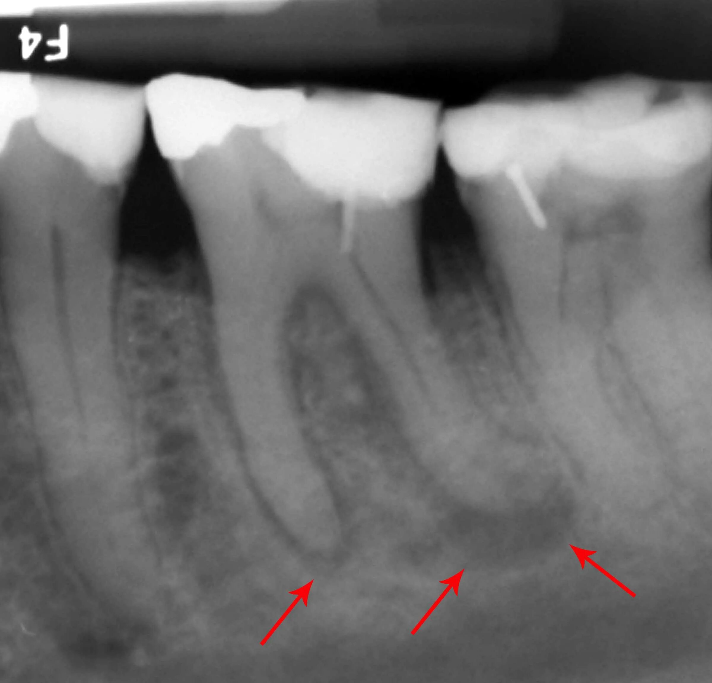
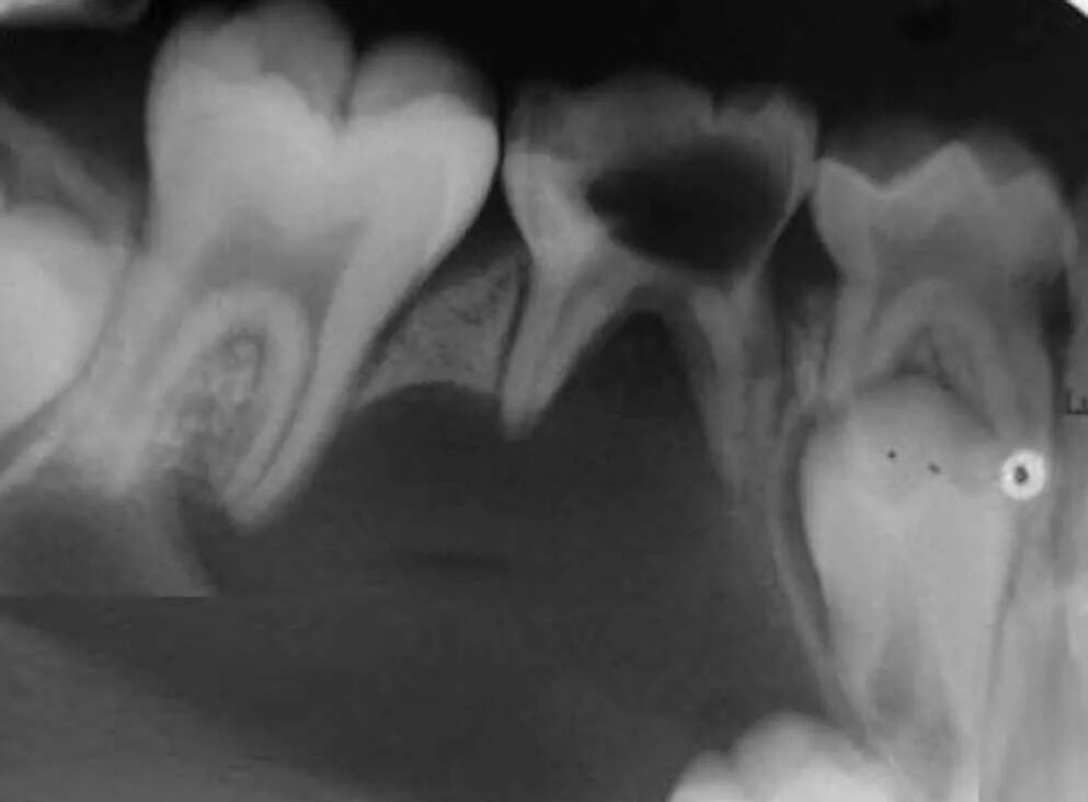
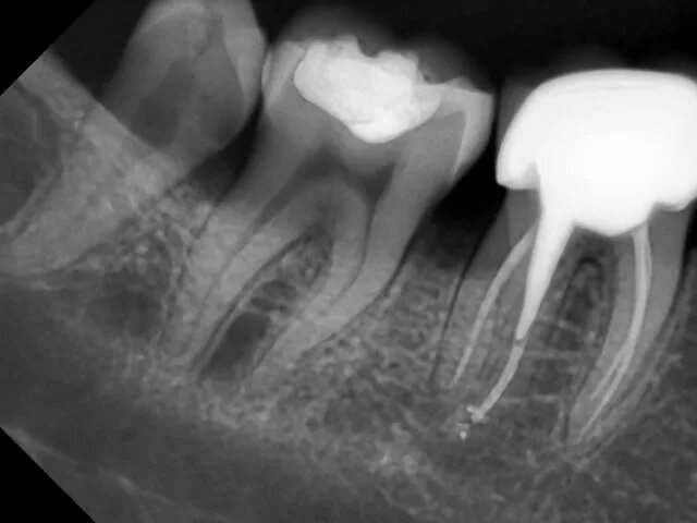
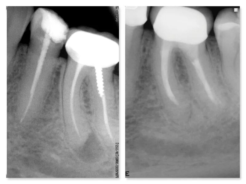
Киста зуба что это