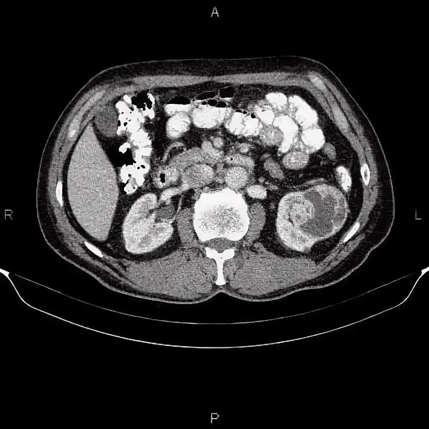
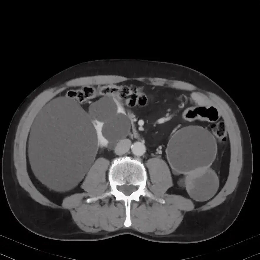
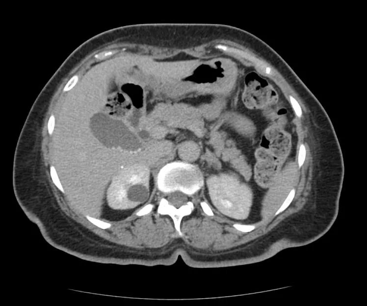
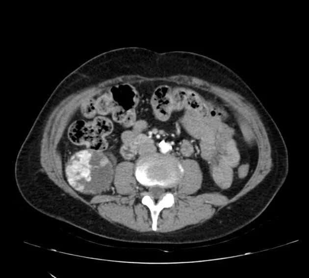
Кисты почек bosniak