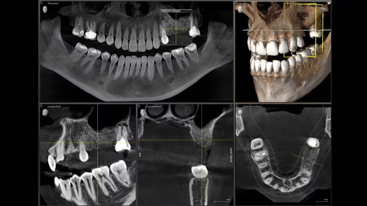
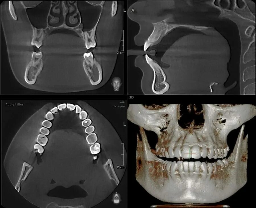
Клкт 3d