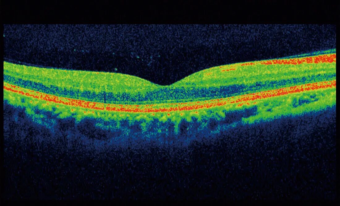
Когерентная томография сетчатки