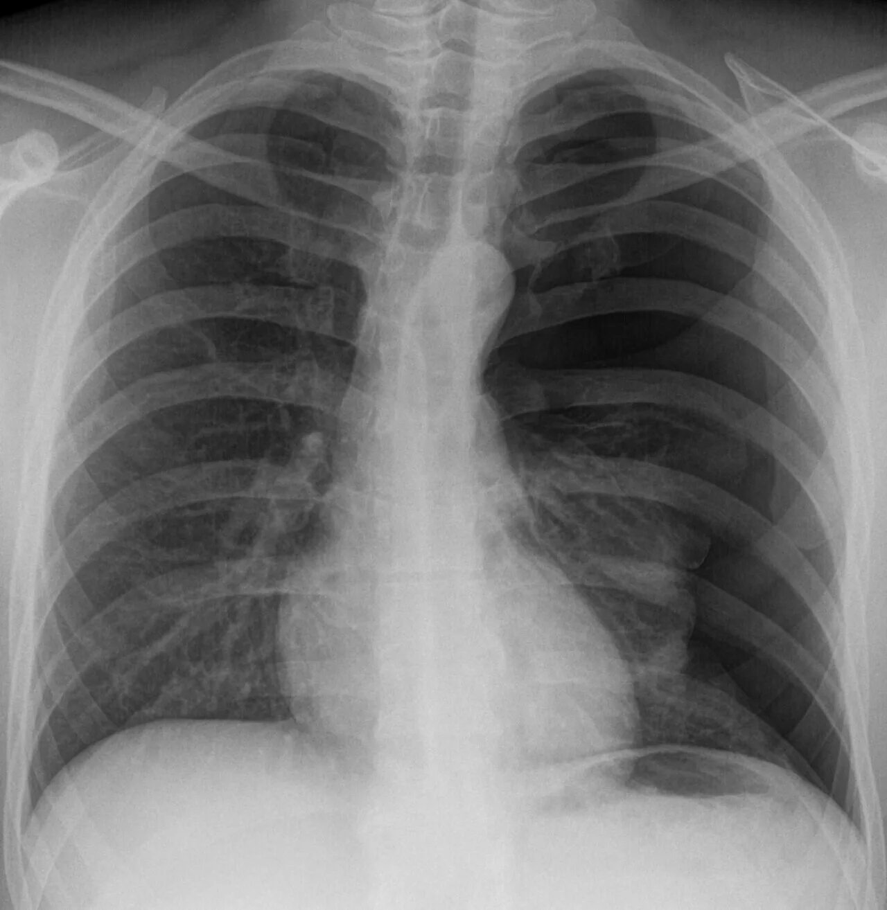
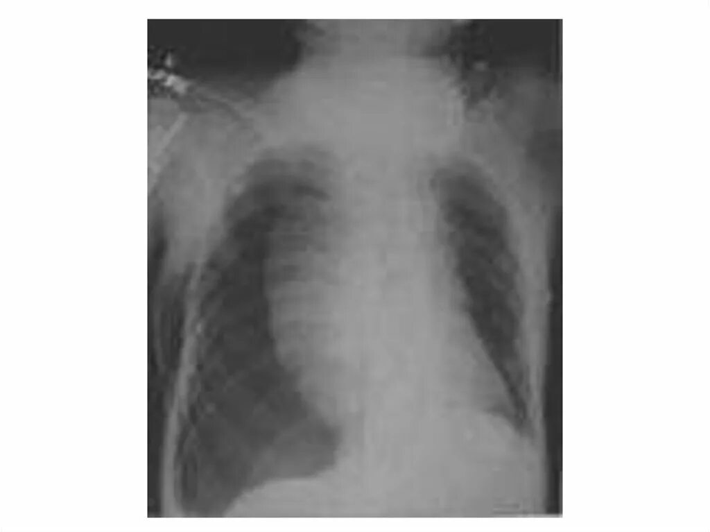
Коллабированное легкое при пневмотораксе