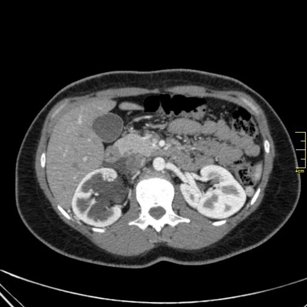
Кортикальная киста почки