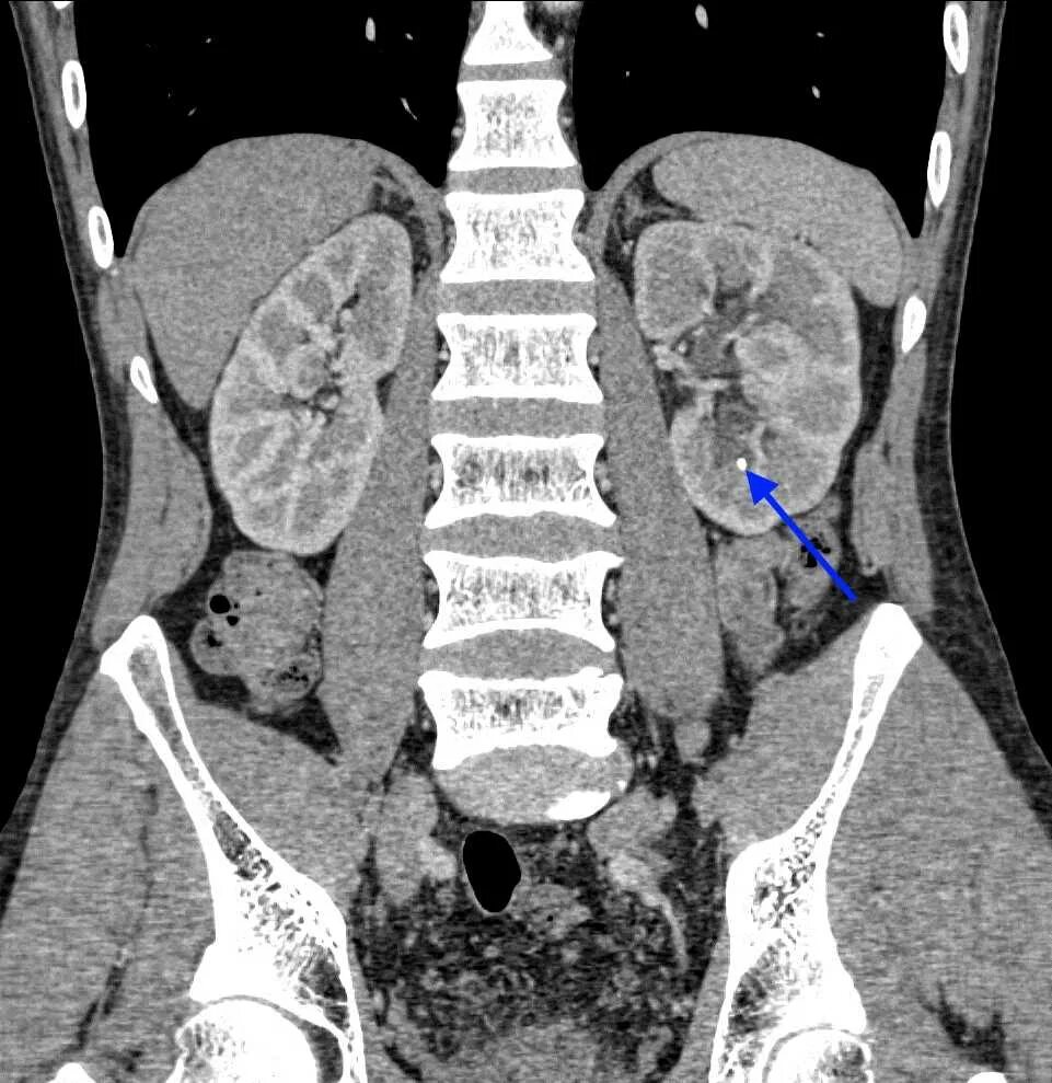
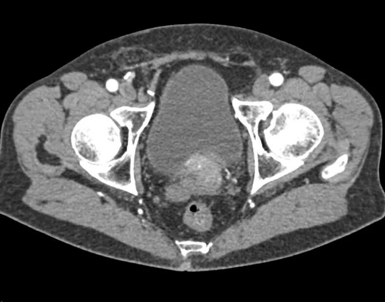
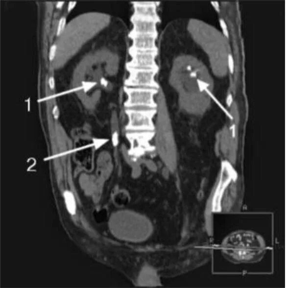
Кт мочевыводящих путей