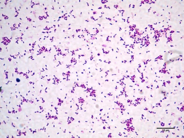
Lachnobacterium spp