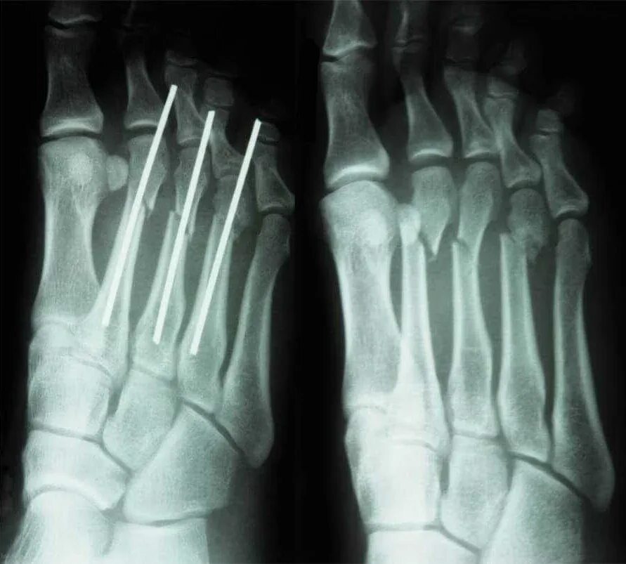
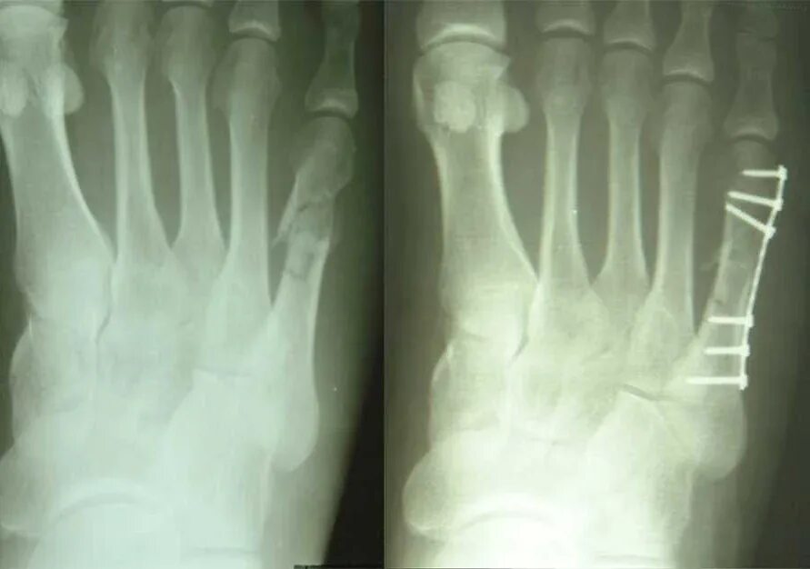
Лечить перелом стопы