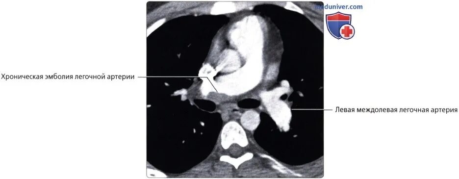
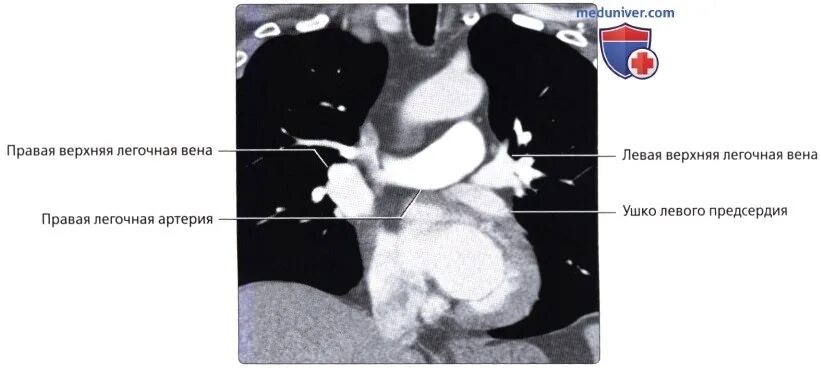
Легочный ствол легкого